An 18-year-old woman from Mexico was hospitalized because of severe headache with nausea and vomiting. Her headaches had started 4 years earlier and had progressively worsened. They occurred mainly in the occipital region and were pulsating, worse on bending down, and unrelieved by any medication. They were often accompanied by dizziness and presyncope.

An 18-year-old woman from Mexico was hospitalized because of severe headache with nausea and vomiting. Her headaches had started 4 years earlier and had progressively worsened. They occurred mainly in the occipital region and were pulsating, worse on bending down, and unrelieved by any medication. They were often accompanied by dizziness and presyncope.
The patient's vital signs were stable. Funduscopy revealed papilledema. Physical and neurological findings were otherwise normal. Initial laboratory results showed a white blood cell count of 12,340/μL with left shift. Results from a serum chemistry panel, hepatic panel, and chest radiograph were normal.

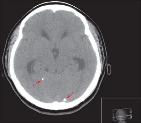
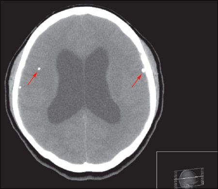
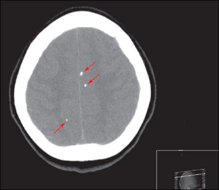
A cranial CT scan showed calcifications (arrows) scattered throughout the brain parenchyma with hydrocephalus. Intravenous ceftriaxone and metronidazole were started; phenytoin was added after seizures developed. Results from blood cultures were negative. The patient underwent a ventriculoperitoneal shunt. Results of cerebrospinal fluid analysis and culture, Cytomegalovirus serology, Toxoplasma serology, and tuberculosis polymerase chain reaction were all negative. Serology for Taenia solium was reactive. Postoperatively, albendazole (800 mg/d) and dexamethasone were started.

Neurocysticercosis, the most common parasitic infection of the CNS, is caused by tissue-invading larval forms of the pork tapeworm T solium.1 The infection is more common among immigrants from Latin America, Asia, and Africa. Immigration from areas where the disease is endemic has led to an increased incidence in the United States. This is especially true in southwestern California, where seizure caused by neurocysticercosis may account for 10% of emergency department visits.2 In nonborder states, the condition is often underrecognized.
In the CNS, larvae can be deposited anywhere from the brain parenchyma to the spinal cord. Symptoms, such as seizures, focal neurological signs, and intracranial hypertension, arise when an encysted worm dies and the body mounts an associated inflammatory response. However, patients may be asymptomatic.

Neuroimaging may show a nonenhancing hypodense lesion, variable degrees of edema, calcifications, or hydrocephalus. Conditions that can present with similar features include toxoplasmosis, schistosomiasis, tuberculosis, cytomegalovirus infection, abscess, primary brain and metastatic cancers, trichinosis, and sarcoidosis. Finding a scolex as a mural nodule within the cyst is pathognomonic for neurocysticercosis. The appearance on CT or MRI scans is frequently nonspecific and may be difficult to differentiate from other brain lesions. A definitive diagnosis can be made using proposed diagnostic criteria based on clinical presentation, imaging, serology, and epidemiological data.3
Treatment consists of anticonvulsants, antihelminthic therapy (with either albendazole or praziquantel), and corticosteroids. Surgery is reserved for hydrocephalus or giant cysts in the setting of intracranial hypertension. No treatment is required for asymptomatic patients.
REFERENCES:
1.
DeGiorgio CM, Medina MT, Durón R, et al. Neurocysticercosis.
Epilepsy Curr
. 2004;4:107-111.
2.
Ong S, Talan DA, Moran GJ, et al; EMERGEncy ID NET Study Group. Neurocysticercosis in radiographically imaged seizure patients in U.S. emergency departments.
Emerg Infect Dis
. 2002;8:608-613.
3.
Del Brutto OH, Rajshekhar V, White AC Jr, et al. Proposed diagnostic criteria for neurocysticercosis.
Neurology
. 2001;24;57:177-183.