Nervous system disorders are common, but the symptoms often resemble those of other medical conditions, complicating the diagnosis.
A patient with a chronic Charcot foot has the typical "rocker bottom foot" with a noninfected neuropathic ulcer on the bottom of the midfoot resulting from increased pressure from ambulation. There is increased hyperkeratotic skin around the ulcer.

Image courtesy of Jackie Pham, PMS-IV, Bora Rhim, DPM, and Jonathan Labovitz, DPM.
Click here for the next image
Acute stage Charcot foot is seen in a 55-year-old man with a significant past medical history of type 2 diabetes mellitus. He shows peripheral neuroarthropathy with a 1-week history of a hot, swollen right foot.

Image courtesy of Jackie Pham, PMS-IV, Bora Rhim, DPM, and Jonathan Labovitz, DPM.
Click here for the next image
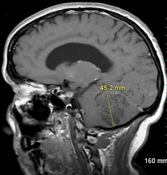
A 39-year-old woman presented with 2-month history of progressively worsening headache and right-sided ataxia. Brain MRI showed a nonenhancing, T1 hypointense mass on the right cerebellar hemisphere, consistent with Lhermitte-Duclos disease.

Image courtesy of Wikrom Warunyuwong, MD, Wisit Cheungpasitporn, MD, Daych Chongnarungsin, MD,
Yasemin S. Tashman, MD, Sirisak Chanprasert, MD.
Click here for the next image
A woman presented to the ED complaining of shoulder and neck pain that started after her car was hit by a truck. A neurologic evaluation and a CT scan of the head found no abnormality. She returned with persistent vertigo. In a subsequent MRA study of the neck, filling of the right vertebral artery is compromised compared with that of the left, confirming a diagnosis of arterial dissection.

Image courtesy of Brady Pregerson, MD.
Click here for the next image
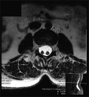
A 42-year-old woman had a “life-long” history of low back pain, without radiation, anesthesia, weakness, or incontinence. An MRI scan without contrast of the lumbar spine revealed a sagittal division of the spinal cord into 2 halves at the L2-3 level separated by a cartilaginous septum, or diastematomyelia, a rare congenital neural-tube defect.

Image courtesy of Millicent King Channell, DO, MA.
Click here for the next image
An obese 50-year-old woman with type 2 diabetes mellitus, hypercholesterolemia, and hypertension had blurry vision in both eyes. Assessment of extraocular motility showed an adduction deficit of the left eye. Imaging results confirmed the suspected diagnosis of tumefactive (atypical) multiple sclerosis, a rare form of demyelinating disease characterized by atypical MRI findings of mass-like demyelination.

Image courtesy of Gregory M. Notz, DO and Jing Cheng Zhao, MD.
Click here for the next image
During a routine physical examination, multiple, randomly distributed, flesh-colored nodules were noted on the trunk, arms, and face of a 62-year-old man. The suspected diagnosis of neurofibromatosis type I was confirmed by tissue biopsy, which showed nerve fibroblasts and Schwann cells.

Image courtesy of Steven N. Glavas, DO, MPH.
Click here for the next image
A 36-year-old man had noticed a dark spot in the field of vision of his left eye. A complete workup was unremarkable except for an elevated C-reactive protein level and a mild prominence of the left hilum on his chest radiograph. Examination of the optic discs through dilated pupils revealed bilateral papilledema, more prominent at the nasal disc margins. A transbronchial biopsy demonstrated non-necrotizing granulomas, which confirmed a diagnosis of neurosarcoidosis.

Image courtesy of Leonid Skorin Jr, DO.
Click here to return to the first image.