Images: Horner syndrome, neurofibroma, sciatica, ulnar neuropathy, intradural extramedullary schwannoma (neurinoma), moyamoya syndrome and stroke.
A 47-year-old man presented to the ED with a drooping right eye and complained of a constant right-sided headache that involved the temporal region. Mild right-sided ptosis and miosis were noted. The patient had Horner syndrome, a functional sympathectomy of the ipsilateral eye caused by injury or disruption of the neural plexus that runs from the sympathetic chain, past the apex of the lung, and up the carotid artery to the eye.

Image courtesy of D. Brady Pregerson, MD.
Click here for the next image
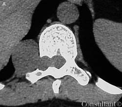
An otherwise healthy 34-year-old man presented with lower thoracic and right flank pain that followed a T10 dermatomal pattern. The axial CT image at the level of T10 seen here showed a soft tissue mass widening the neural foramen on the right and extending in a paraspinal location. The pathologic diagnosis of the resected mass was slow-growing fusiform neurofibroma without the plexiform changes frequently seen in type 1 neurofibromatosis, the hallmark lesions of which are caf au lait macules and multiple firm, subcutaneous neurofibromas.

Image courtesy of Will Beringer, DO.
Click here for the next image
Patients who present with sciatica have radicular symptoms more frequently than back pain. Because more than 95% of disk herniations occur at the L4-5 or L5-S1 level, as in this image, the radicular pain typically extends below the knee. This radicular component is useful in differentiating true sciatica from nonsciatic conditions, such as trochanteric bursitis, hip osteoarthritis, and meralgia paresthetica.

Image courtesy of David Della-Giustina, MD and Bradford A. Kilcline, MD.
Click here for the next image
Ulnar nerve problems may occur when the elbow is immobilized in flexion beyond a right angle (less than 90°). This can compress the ulnar nerve as it travels through the cubital tunnel, especially if the ulnar nerve is relatively mobile and moves up against the epicondyle, as in this patient, who had sustained a radial fracture. Ulnar neuropathy developed after a longarm cast was applied with the elbow hyperflexed. A temporary ischemic neuropathy of the sensitive ulnar nerve may cause weakness of the intrinsic muscles of the hand supplied by the nerve.

Image courtesy of John F. Connolly, MD.
Click here for the next image
A 40-year-old man presented with episodic cervical pain radiating to the left shoulder. MRI scans showed a well-marginated nodular lesion in the intradural extramedullar space at the T2 level (1), with a broad contact surface between the lesion and the posterior and left lateral wall of the upper thoracic spinal canal. The spinal canal is largely occupied by the lesion, causing the cord to be severely compressed and displaced to the right (2). Intradural extramedullary schwannoma (neurinoma) is a neoplasm of the nerve sheath in the peripheral nervous system.

Image courtesy of Dr Pilar Piero.
Click here for the next image
Children with Down syndrome are at risk for medical complications that may affect the neurologic and other systems. Moyamoya syndrome is a cerebrovascular disorder characterized by progressive noninflammatory, nonatherosclerotic occlusion of bilateral intracranial arteries with compensatory formation of fragile arterial collateral vessels (below) that maintain cerebral circulation. This classic complication leads to stroke.

Image courtesy of Lalitha Sivaswamy, MD.
Click here to return to the first image.