
The symptoms of a nervous system disorder often resemble those of other medical conditions or problems. Test your understanding and diagnostic skills here.

Question 1:
Multiple randomly distributed, flesh-colored nodules were noted on the trunk, arms, and face of a 62-year-old man. The lesions measured 0.5 to 1.0 cm and appeared slightly pedunculated. He had had the lesions since he was a teenager; they were not painful. Tissue biopsy confirmed the suspected diagnosis of neurofibromatosis type I.
NEXT QUESTION »
For the discussion, click here.

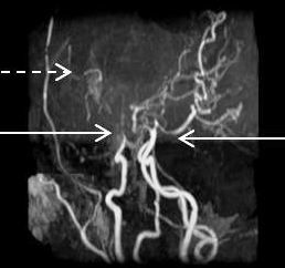
Question 2:
Moyamoya syndrome, characterized by progressive noninflammatory, nonatherosclerotic occlusion of bilateral intracranial arteries, is a classic complication that leads to stroke in children with Down syndrome.
NEXT QUESTION »
For the discussion, click here.

Question 3:
A 17-year-old sexually active woman presented with sudden vision loss in her left eye. She recently had a viral illness. The only change in her home environment was a new kitten. The fundus examination is shown. There was a relative afferent pupillary defect in her left eye. The diagnosis was cat scratch disease–related neuroretinitis.
NEXT QUESTION »
For the discussion, click here.
For the answer, click here.

Question 4:
A 39-year-old woman presented with a 2-month history of progressively worsening headache and right-sided ataxia. Neurologic examination revealed mild dysmetria, and dysdiadochokinesia on the right side. MRI of the brain demonstrated a 4.5-cm, nonenhancing, T1 hypointense mass on the right cerebellar hemisphere.
NEXT QUESTION »
For the discussion, click here.

Question 5:
A 40-year-old man presented with episodic cervical pain radiating to the left shoulder. MRI scans show a well-marginated nodular lesion in the intradural extramedullar space at the T2 level (1), with a broad contact surface between the lesion and the posterior and left lateral wall of the upper thoracic spinal canal. The spinal canal is largely occupied by the lesion, causing the cord to be severely compressed and displaced to the right (2).
NEXT QUESTION »
For the discussion, click here.

Question 6:
A 36-year-old man had a dark spot in the field of vision of his left eye that now more closely resembled a line. An earlier workup was unremarkable except for an elevated C-reactive protein level and a mild prominence of the left hilum on his chest radiograph. Examination of the optic discs through dilated pupils revealed bilateral papilledema, more prominent at the nasal disc margins.
ANSWER KEY »
For the discussion, click here.
ANSWER KEY:
Question 1. C
Question 2. E
Question 3. D
Question 4. B
Question 5. A
Question 6. B
2 Commerce Drive
Cranbury, NJ 08512