MRI is now central to the diagnosis of multiple sclerosis. Because of the modality’s high sensitivity to inflammation and demyelinating plaques, roughly 90% of all MS diagnoses are now based on MRI findings.
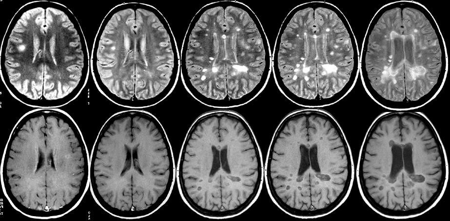
Serial axial T2-weighted (top row) and postcontrast T1-weighted (bottom row) spin-echo MRI images of brain performed at baseline, month 1, and month 2, in a patient with relapsing-remitting MS. Multiple hyperintense lesions, which suggest multifocal white-matter pathology, are visible on T2-weighted image at baseline. On postcontrast T1-weighted examination, some of these lesions are contrast-enhanced, which indicates local disruption of blood–brain barrier. New contrast-enhancing lesions can be observed at month 1 and month 2, which indicate dissemination of disease.

Image courtesy of Massimo Filippi
Click here for the next image
The serial MRI images here were obtained on a biyearly basis in a patient with relapsing-remitting MS. The images reveal an increasing number of plaques within hemispheric white matter, an increase in the number and size of black holes, and progressive brain volume loss.

Image courtesy of A. Rovira
Click here for the next image
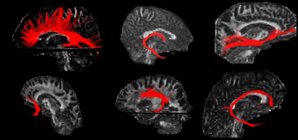
Diffusion tensor MRI tractography studies typically show diffusivity abnormalities in MS patients that are not seen in controls and that correlate with various measures of clinical severity. Here, the technology was used to reconstruct white matter tracts in healthy control subjects. On the top row are the corpus callosum, fornix, and inferior fronto-occipital fasciculus; on the bottom, the uncinate, arcuate, and cingulum fasciculus. Hard exudates composed of lipid and protein deposits are seen and a cotton-wool spot (nerve fiber layer infarct) is also visible.

Image courtesy of Massimo Filippi
Click here for the next image
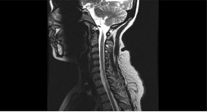
These MRI images depict the brain (top) and spinal cord (bottom) of a patient with multiple sclerosis of 10 years duration who recently transitioned from a relapsing-remitting to a secondary progressive course. The fluid-attenuated inversion recovery (FLAIR) imaging of the brain shows confluent disease typical for MS, with periventricular and juxtacortical lesions. The spinal MRI shows a lesion in the cervical cord, which is commonly seen in MS.


Images and case courtesy of Aliza Ben-Zacharia, DrNP, ANP-BC
Click here to return to the first image.