Two weeks after being treated for a fracture of the left humerus and several palpable breast lesions, a 63-year-old African American woman was hospitalized for generalized weakness and confusion. She had a history of type 2 diabetes mellitus, hypertension, coronary artery disease, chronic kidney disease, and low-grade B-cell lymphoma (which had been in remission for 2 years).

Click to Enlarge
Two weeks after being treated for a fracture of the left humerus and several palpable breast lesions, a 63-year-old African American woman was hospitalized for generalized weakness and confusion. She had a history of type 2 diabetes mellitus, hypertension, coronary artery disease, chronic kidney disease, and low-grade B-cell lymphoma (which had been in remission for 2 years). During her hospitalization 2 weeks earlier, bone and breast biopsies as well as serum protein electrophoresis revealed an IgA κ light chain gammopathy. A skeletal survey revealed diffuse lytic bone lesions, and multiple myeloma was diagnosed.
Vital signs were stable on admission. The patient was alert but not oriented. She had pale conjunctivae and moist mucous membranes. Periumbilical tenderness without rebound or guarding was noted on deep palpation. Laboratory testing revealed the following levels: hemoglobin, 8.3 g/dL; hematocrit, 26%; mean corpuscular volume, 87 fL; potassium, 7.0 mEq/L; blood urea nitrogen, 84 mg/dL; creatinine, 9.4 mg/dL (baseline, 1.2 mg/dL), and phosphorus, 7.8 mg/dL. An ECG revealed diffuse T-wave inversions.

Click to Enlarge
Intravenous dextrose, regular insulin, calcium gluconate, and sodium polystyrene sulfonate were started, and the patient underwent emergent dialysis. Her mental status gradually improved. Because of her age and multiple comorbidities, bone marrow transplant was deferred. Therapy with melphalan and prednisone was started. Several days after admission, intractable nausea and emesis developed. On hospital day 10, the patient had 3 large episodes of hematemesis. The hemoglobin level decreased from 8.7 g/dL to 7.7 g/dL.
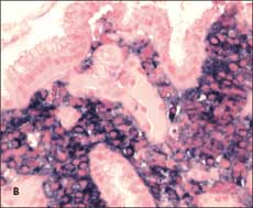
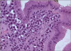
An upper endoscopy revealed a 25-mm mass with central ulceration in the proximal body of the stomach on the lesser curvature (A). There was no evidence of active bleeding. Multiple biopsies revealed infiltration of the lamina propria with atypical mononuclear cells of a plasmacytoid appearance (B). Chromogenic in situ hybridization staining of the cells demonstrated a κ light chain restriction (C).
Chemotherapy was continued; however, the patient’s mental status deteriorated, and the patient’s family ultimately opted to pursue comfort care measures.

Click to Enlarge
Multiple myeloma-a malignant proliferation of plasma cells derived from a single clone-accounts for about 1% of all the malignant diseases and 10% of hematological malignancies. The disease is more common in African Americans and in men; its incidence increases with age. The hallmarks for diagnosis include at least 10% abnormal plasma cells in the bone marrow or histological proof of a plasmacytoma and at least 1 of the following abnormalities: serum M protein (usually greater than 3 g/dL), M protein in the urine (usually greater than 1 g/dL), or osteolytic lesions.1
A plasmacytoma is a collection of neoplastic B cells that form a mass in either bone or soft tissue. Plasmacytomas can be either localized (those without signs of bone marrow involvement, such as solitary plasmacytoma of bone and extramedullary plasmacytomas) or diffuse (those seen in multiple myeloma and plasma cell leukemias).2
More than 80% of localized extramedullary plasmacytomas are found in the upper respiratory tract.2 About 2% to 5% of all extramedullary plasmacytomas are located in the stomach (gastric plasmacytomas).2 These tumors usually present with epigastric pain, weight loss, anorexia, and occult blood loss but rarely with upper GI hemorrhage,2 as in this case. Gastric plasmacytomas typically resemble carcinoma and are classified as nodular, polypoid, ulcerative, or infiltrative.3 Biopsies must be obtained to confirm that the lesion is indeed a plasma cell tumor, and additional testing must be performed to differentiate localized extramedullary plasmacytoma from diffuse multiple myeloma.
Extramedullary plasmacytomas are radiosensitive and can often be resected surgically with the goal of preventing recurrence or progression.4 The rate of conversion to multiple myeloma ranges from 14.1% to 36%.5 When a gastric plasmacytoma is found in the setting of multiple myeloma, the prognosis is poor, and therapy is aimed toward treating the primary disease.4
REFERENCES:
1
. Hoffman R, Benz EJ Jr, Shattil SJ, et al, eds.
Hematology: Basic Principles andPractice.
4th ed. New York: Churchill Livingstone; 2004:1501-1535.
2
. Nolan KD, Mone MC, Nelson EW. Plasma cell neoplasms. Review of diseaseprogression and report of a new variant.
Surg Oncol.
2005;14:85-90.
3
. Remigio PA, Klaum A. Extramedullary plasmacytoma of stomach.
Cancer.
1971;27:562-568.
4
. Esfandyari T, Abraham SC, Arora AS. Gastrointestinal plasmacytoma thatcaused anemia in a patient with multiple myeloma.
Nat Clin Pract GastroenterolHepatol.
2007;4:111-115.
5
. Alexiou C, Kau RJ, Dietzfelbinger H, et al. Extramedullary plasmacytoma:tumor occurrence and therapeutic concepts.
Cancer.
1999;85:2305-2314.