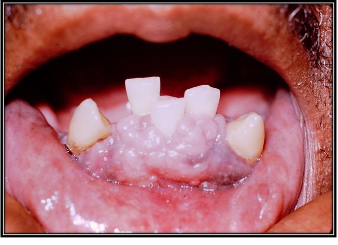
What is in your differential diagnosis for this lesion observed in the mouth of a 52-year-old man?
A 52-year-old man presents with significant overgrowth of the lower anterior gingiva. His history includes generalized seizure disorder secondary to alcohol abuse disorder for which he began medical treatment six years ago.

What do you suspect as the cause of the lesion?