Hepatomegaly is detected during the routine physical examination of a healthy 40-year-old woman. She has noticed some fullness in the right upper abdomen for many years, but it has not been accompanied by pain or GI symptoms.
Hepatomegaly is detected during the routine physical examination of a healthy 40-year-old woman who is employed as a secretary. She has noticed some fullness in the right upper abdomen for many years, but it has not been accompanied by pain or GI symptoms.
The patient has an excellent appetite and jogs 2 to 3 miles daily. She denies fever, rigors, chills, night sweats, cough, chest pain, dyspnea, ankle edema, lymphadenopathy, and rash. She has no history of jaundice, weight loss, or surgery.
She has had 2 normal deliveries. During childhood, she had migraine headaches. She does not drink alcohol, smoke cigarettes, or use illicit drugs. She has had no transfusions or tattoos. Her menstrual periods are regular, and she takes no medications. Her mother has well-controlled type 2 diabetes and her father has hypertension.
The patient was born and raised on a farm in Greece and immigrated to the United States at the age of 24 years. She has not traveled outside the country since then.
Examination. Heart rate is 80 beats per minute and regular; respiration rate, 20 breaths per minute; temperature, 36.9°C (98.5°F); blood pressure, right upper limb, 120/72 mm Hg; and weight, 122 lb. Hydration status is good. Examination of the eyes and throat reveals no icterus, erythema, or evidence of candidal infection. There is no sign of anemia, clubbing, cyanosis, or lymphadenopathy. The thyroid is not palpable. There are no breast masses. The abdominal examination is normal. The liver is palpable 5 finger breadths below the intercostal line; it is firm, smooth, and nontender. There is no splenomegaly or ascites. Bowel sounds are normal and hernial orifices are clear. Genital, perianal, pelvic, and rectal examinations reveal no abnormalities. Results of a guaiac fecal occult blood test are negative. Findings from the remainder of the systemic examination are normal.

Laboratory studies. White blood cell (WBC) count, 5100/µL, with 60% polymorphonuclear leukocytes, 32% lymphocytes, 4% eosinophils, 4% monocytes. Hemoglobin level, 13.6 g/dL; platelet count, 200,000/µL; erythrocyte sedimentation rate, 8 mm/h. Urinalysis reveals no protein and no bilirubin; WBC count, 2 per high-power field; no red blood cells. Blood glucose level, 84 mg/dL. Blood urea nitrogen level, 18 mg/dL; creatinine, 0.8 mg/dL; serum sodium, 138 mEq/L; potassium, 3.7 mEq/L; chloride, 100 mEq/L; bicarbonate, 22 mEq/L; total bilirubin, 1 mg/dL; conjugated bilirubin, 0.8 mg/dL. Total protein, 8 g/dL; albumin, 4.2 g/dL; globulin, 3.8 g/dL; alkaline phosphatase, 200 U/L; aspartate aminotransferase, 21 U/L; alanine aminotransferase, 20 U/L. Ultrasonography reveals a large cystic lesion in the right lobe of the liver.
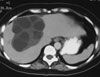
An abdominal CT scan is ordered.
In view of the clinical picture and ultrasonographic and CT findings, what is the most likely diagnosis?
A. Hepatoma
B. Cavernous hemangioma
C. Polycystic liver disease
D. Cystic echinococcosis
E. Amebic hepatic abscess
(Answer and discussion on the next page.)
WHAT'S WRONG:
The CT scan shows a large cystic lesion with multiple internal septations. This finding in an asymptomatic patient with hepatomegaly who was raised on a farm in Greece strongly suggests cystic echinococcosis, D.

Further clinical course. Additional test results revealed no al-fetoprotein or amebic hemagglutinins. Indirect hemagglutination and an enzyme-linked immunosorbent assay (ELISA) for Echinococcus were positive for IgG antibodies. A chest radiograph showed no abnormalities. Radiographs of the long bones did not demonstrate any bony or soft tissue cystic lesions.
The treatment choices of surgery, percutaneous puncture of the cyst, and chemotherapy were discussed with the patient and her husband; they elected chemotherapy. A regimen of albendazole, 400 mg bid, was begun. After 6 months of therapy, an abdominal CT scan showed a 30% reduction in the size of the cyst. An additional 6 months of therapy with regular follow-up was recommended.
OVERVIEW
Echinococcosis is a zoonotic infection caused by the cestode species of the genus Echinococccus. Three species of Echinococcus cause hydatid disease in humans: Echinococcusgranulosus, the most common variety, which causes cystic echinococcosis; Echinococcusmultilocularis, which causes alveolar echinococcosis; and Echinococcusvogeli, which causes polycystic echinococcosis.
LIFE CYCLE OF
ECHINOCOCCUS
The adult tapeworms (3 to 6 mm long) inhabit the small intestine of carnivorous definitive hosts, such as dogs, coyotes, and wolves. The cystic stage occurs in herbivorous intermediate hosts, such as sheep, cattle, goats, camels, pigs, and horses, as well as in humans.
In the typical dog-sheep cycle, dogs ingest viscera that contain echinococcal cysts with protoscolices (tiny tapeworm heads) inside. Protoscolices attach to dogs' intestines and develop into adult tapeworms capable of producing infective eggs. Tapeworm eggs are passed in the feces of an infected dog and may be ingested by grazing sheep. They hatch into embryos in the intestine, penetrate the intestinal lining, and are carried to major filtering organs, principally the liver and lungs. After localizing in the specific site, they develop into echinococcal cysts.
Humans, like sheep, play the role of intermediate hosts. Humans become infected by ingesting tapeworm eggs either through direct contact or from food or water contaminated by fecal material that contains tapeworm eggs. Larvae migrate mainly to the liver (63%) and lungs (25%) and less frequently to the muscles (5%) and bones (3%).
EPIDEMIOLOGY
Hydatosis is an important public health problem in many parts of the world, especially in rural areas where sheep and cattle are raised. Endemic foci are found in eastern, western, and southern Europe; the Middle East; North and South Africa; Australia; and New Zealand.
Although echinococcosis is uncommon in the United States, transmission of E granulosus in the dog-sheep cycle occurs in the western states, principally California, Arizona, New Mexico, and Utah. In Arizona and New Mexico, echinococcosis is seen in American Indians who belong to the Zuni, Navajo, and Santo Domingo tribes. Members of these tribes live in close proximity to their animals.
CLINICAL MANIFESTATIONS
Human echinococcosis has myriad presentations. Patients may seek treatment when a large cyst affects organ function or when rupture of a cyst causes an acute hypersensitivity reaction. A cyst may also be discovered incidentally during radiographic examination, body scanning, or surgery.
In patients with liver involvement, the chief complaint may range from upper abdominal discomfort and pain, poor appetite, and a self-diagnosed abdominal mass to jaundice, biliary coliclike symptoms, recurrent cholangitis, pancreatitis, and portal hypertension with ascites. Cyst rupture may result in peritoneal spread of cystic fluid and peritonitis.
Lung involvement may cause chronic cough, expectoration, hemoptysis, increasing dyspnea, chest pain, pneumothorax, or pleural effusion. A cystic lesion often is mistaken for a lung tumor.
DIAGNOSIS
The presence of a cystlike mass in a person with a history of exposure to farm dogs or sheep dogs in areas where E granulosus is endemic supports the diagnosis of cystic echinococcosis.
Imaging. Noninvasive confirmation of the diagnosis is usually obtained by ultrasonography, radiologic imaging, or immunologic techniques. Cystic echinococcosis must be differentiated from nonparasitic cysts, cavitary tuberculosis, mycosis, abscesses, and benign or malignant neoplasms.
Ultrasonography is the procedure of choice because it is safe, noninvasive, and relatively inexpensive. Typical findings consist of solitary or multiple round or spherical 1- to 15-cm cystic lesions. Cysts filled with hydatid fluid are centrally anechoic with well-defined outer contours. Internal septations are characteristic of multiple daughter cysts within a large mother cyst.
CT and MRI permit better documentation of site, size, and structure, particularly of small cysts; monitoring of lesions during chemotherapy; the evolution of calcification; and detection of postoperative recurrence of cystic lesions.
Serodiagnosis. Serologic tests are useful for confirming a presumptive diagnosis based on imaging studies. False-positive reactions may be caused by other helmintic infections, cancer, and chronic immune disorders. Rupture of a cyst produces an abrupt rise in antibody titers.
ELISA and the indirect hemagglutination tests have a sensitivity of 60% to 90% in initial serum screening. Specific confirmation of reactivity is obtained with demonstration of echinococcal antigen by immunodiffusion procedures or immunoblot assays.
Diagnostic puncture. This procedure is not routinely recommended because of the risk of anaphylactic reaction or the spillage of viable cyst contents, which can induce secondary echinococcosis. Ultrasound guided fine-needle puncture is justified only when there are no detectable anti-echinococcus serum antibodies or in the case of lesions for which imaging techniques do not permit discrimination between cystic echinococcus, liver abscess, and neoplasm. Ideally, this procedure is done with chemotherapeutic coverage (albendazole or mebendazole 2 days before and 10 days after the procedure).
TREATMENT
Surgical intervention is still the treatment of choice. Mortality is 2% if the procedure is done by an experienced surgeon; the recurrence rate is 2% to 25%. Chemotherapy with benzimidazole compounds is considered a supplementary or alternative option.
The PAIR method, in combination with chemotherapy, has been used as an alternative to surgery during the past decade. This consists of percutaneous puncture of a small, solitary cyst; aspiration of fluid; injection of a protoscolicoidal agent (hypertonic sodium chloride solution, 20% to 30%, or ethanol, 95%); and reaspiration.
Albendazole and mebendazole are the only anthelmintic agents effective against cystic echinococcus. Albendazole, which is more effective for liver cysts, is dosed at 400 mg bid for 6 to 12 months. Mebendazole is dosed at 10 mg/kg/d. Both agents are contraindicated in pregnancy. With drug treatment, cysts disappear in up to 30% of patients; in 30% to 50%, cysts degenerate or shrink significantly; and in 20% to 40%, cysts remain morphologically unchanged.
FOR MORE INFORMATION: