A PET/CT scan shows uptake of tracer consistent with malignancy in the left lower lobe and mediastinal nodes. What would be your next step?
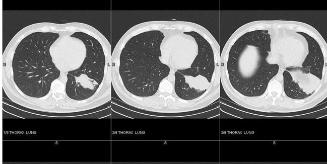
A 57-year-old man comes to see you complaining of fevers, chills, and left-sided back pain of a week’s duration. A chest x-ray film shows a dense left-sided infiltrate, and you make a presumptive diagnosis of left lower lobe (LLL) community-acquired pneumonia. You treat him with moxifloxacin 400 mg for 10 days, but after initial improvement in symptoms of fever, chills, and malaise, his back pain persists. A repeated chest x-ray film 1 month later shows persistence of the infiltrate, and you send the patient for a CT scan of the chest. Representative images are shown at right in Figure 1 (top-sagital section), Figure 2 (center-coronoal section), and Figure 3 (bottom-coronal and sagital section, mediastinal view). (Click images to enlarge.)
Note that the arrows in the last 2 frames of Figure 3 (bottom) point to mediastinal adenopathy. A PET/CT scan shows uptake of tracer consistent with malignancy in both the LLL mass and the mediastinal nodes.
What would be the next best step?
