A 52-year-old man with a 29-year history of type 1 diabetes mellitus and mild diabetic retinopathy and nephropathy presents for a regular checkup.

Figure 1

Figure 2
A 52-year-old man with a 29-year history of type 1 diabetes mellitus and mild diabetic retinopathy and nephropathy presents for a regular checkup. He has not had any macrovascular diabetes-related complications. His average hemoglobin A1c level for the past 10 years has been 7.5%. He has no history of hypertension or hyperlipidemia. His current medications include insulin glargine, insulin lispro, and lisinopril (10 mg/d). Results of a review of systems are unremarkable.
A midepigastric, soft, short, systolic bruit is audible. Heart rate and rhythm are regular; no cardiac murmurs or bruits over the renal or femoral arteries are present. Peripheral pedal pulses are normal.
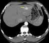
Given the patient's age and history of diabetes, atherosclerotic arterial narrowing is suspected. Liver and kidney function test results and a complete blood cell count are normal. A contrast-enhanced abdominal CT scan reveals no aortic aneurysm or kidney abnormality; however, 3 lesions are noted in the liver. A CT slice shows the largest lesion, located in the left lobe of the liver (Figure 1).
Abdominal MRI is performed to further delineate the hepatic masses. Based on the enhancement pattern during contrast administration, the lesions are characterized as hemangiomas. The largest lesion measures 16.51 mm (Figure 2).
Because the lesions are asymptomatic and small (less than 40 mm), no further intervention is recommended. The patient continues to be asymptomatic at 2-year follow-up.
CAVERNOUS HEMANGIOMA: A RARE CAUSE OF AN ABDOMINAL BRUIT
Bruits usually indicate accelerated blood flow velocity and turbulence at sites of stenosis.1 The finding of an abdominal bruit is nonspecific, and further testing is necessary to elucidate the cause. The most common cause, especially in patients with diabetes, is atherosclerotic narrowing that involves the renal, iliac, or mesenteric arteries. The differential diagnosis also includes aortic aneurysm, arteriovenous fistulae (traumatic or congenital), and abdominal tumors. Abdominal bruits have been reported in up to 25% of patients with hepatocellular carcinoma.2,3
This patient had multiple hepatic hemangiomas, a very uncommon finding, especially in men. The largest lesion is the origin of this patient's abdominal bruit. This is a rare presentation of a hemangioma; it also represents a rare cause of abdominal bruit.
CLINICAL PRESENTATION
Cavernous hemangioma is a common, congenital, benign tumor of the liver. It presents most often in the third through fifth decades of life and has a strong predilection for women. Up to 50% of hemangiomas in men may be multiple.4 These tumors enlarge by ectasia; enlargement is more often seen in women who use oral contraceptives. Because hemangiomas are small and asymptomatic, they are generally discovered incidentally.
Upper abdominal pain, early satiety, nausea, and vomiting have been reported only with large or multiple lesions; these symptoms result from partial infarction of the lesion or pressure on adjacent tissues.5 The only physical finding of a hemangioma may be an enlarged liver or, rarely, an arterial bruit heard over the tumor. Malignant transformation has not been reported.5
WORKUP
The workup should include imaging of the abdomen and biochemical testing of liver and kidney function. Digital subtraction angiography, color-flow Doppler ultrasonography, CT angiography, and magnetic resonance angiography are all capable of detecting and characterizing these vascular lesions.
TREATMENT
Surgical resection of large symptomatic lesions may be performed; otherwise no treatment is recommended.6 Rupture of the tumor, with subsequent bleeding, is the most commonly reported complication.
REFERENCES:
1.
Braunwald E, Pearloff JK. The arterial pulse invascular disease. In: Braunwald E, Zipes DP, LibbyP, eds. Heart Disease: A Textbook of CardiovascularMedicine. 6th ed. Philadelphia: WB Saunders Co;2001:54.
2.
Kew MC, Paterson AC. Unusual clinical presentationsof hepatocellular carcinoma. Trop Gastroenterol.1985;6:10-22.
3.
Lau WY, Leung KL, Leung TW, et al. Obstructivejaundice secondary to hepatocellular carcinoma. SurgOncol. 1995;4:303-308.
4.
Karhunen PJ. Benign hepatic tumours and tumourlike conditions in men. J Clin Pathol. 1986;39:183-188.
5.
Kew MC. Cavernous hemangioma. In: FeldmanM, Friedman LS, Sleisenger MH, eds. Sleisenger &Fordtran's Gastrointestinal and Liver Disease. 7th ed.Philadelphia: Elsevier Science; 2002:1592-1593.
6.
Yoon SS, Charny CK, Fong Y, et al. Diagnosis,management, and outcomes of 115 patients with hepatichemangioma. J Am Coll Surg. 2003;197:392-402.