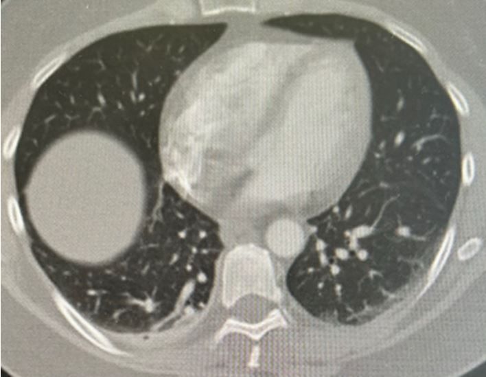
A woman in her mid-50s arrives at the ED for suspected anaphylaxis; SOB has not responded to epinephrine and steroids. Does the CT scan suggest a Dx?

History of present illness. A woman in her mid-50s with no significant medical history, currently on Macrobid for a urinary tract infection (UTI) is sent from urgent care to the emergency department (ED) for suspected anaphylaxis. Before sending her to the ED, she was given IM epinephrine and Decadron. She complains only of shortness of breath, which she said is not better than before she received the medications. She denies any oral, skin, gastrointestinal, other symptoms.
Vital signs and physical examination. Her vital signs are normal except for a pulse of 123 beats/min and pulse oximetry of 93% on room air.
Rales are heard at the bases bilaterally, but only with a full rapid inspiration. They do not clear with coughing or deep breathing. The resident did not hear them. There is no wheezing. It is unclear what the physician at the urgent care heard.
Laboratory findings
Imaging
