After a fall during a soccer match 2 weeks earlier, a 26-year-old woman had pain of the right midfoot, with moderate swelling. The pain was aggravated with a normal gait and alleviated with an antalgic gait, specifically with inversion of the right ankle such that most of the weight from heel-strike through toe-off transmitted forces from the lateral calcaneus through the fifth metatarsus to the fifth phalanx.
Lisfranc Ligamental Injury
Salter-Harris II Fracture of the Distal Phalanx
Avulsion of the Ischial Tuberosity
After a fall during a soccer match 2 weeks earlier, a 26-year-old woman had pain of the right midfoot, with moderate swelling. The pain was aggravated with a normal gait and alleviated with an antalgic gait, specifically with inversion of the right ankle such that most of the weight from heel-strike through toe-off transmitted forces from the lateral calcaneus through the fifth metatarsus to the fifth phalanx.
Two days before presentation, the patient had swelling and pain of the superior aspect of the right knee. This was presumed to be related to the antalgic gait.
Point tenderness was noted over the right midfoot. No plantar ecchymosis was evident. Results of squeeze, Thompson, anterior drawer, and talar tilt tests were negative. Further squeeze testing of the metatarsal rays elicited pain in the midfoot.
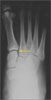
Anteroposterior radiographs of the right foot demonstrated a gap larger than 3 mm between the bases of the first and second metatarsals as well as between the first and second medial cuneiforms, with loss of alignment of the medial edge of the base of the second metatarsal with the medial edge of the medial cuneiform. This was a stage II sprain according to the Nunley and Vertullo classification.1 There was no fracture of the base of the second metatarsal.
Capsuloligamentous disruption of the Lisfranc joint is most often seen in patients who have sustained highvelocity trauma in motor vehicle crashes. However, it can also result from low-velocity twisting-type injuries that occur in athletes.2

A clinical diagnosis can be made on the basis of midfoot swelling and tenderness; plantar ecchymosis; and assessment of gait, medial longitudinal arch, and ability to bear weight on the toes. Pain on squeezing the metatarsal rays in frontal and coronal planes is diagnostic.
The evaluation of a suspected Lisfranc joint injury should include weight-bearing anteroposterior, oblique, and lateral radiographs of the foot.1 About 20% of Lisfranc joint injuries are missed on conventional radiographs, presumably because of lack of fracture or history to correlate with the findings.3
Treatment is based on the degree of separation between the bases of the first and second metatarsals and the relationship of the medial cuneiform:
•Stage I sprain (no diastasis or arch height loss) is treated with cast immobilization and protected weight bearing for 4 to 6 weeks.
•Stage II sprain (2- to 5-mm diastasis) is treated with immobilization and non–weight-bearing status, which in this patient consisted of a Jones splint, or short leg cast, and the use of crutches.
•Stage III sprain (greater than 5-mm diastasis and loss of arch height) is treated with open reduction and internal fixation, although some experts have advocated this treatment in all stage II and III sprains in athletes to stabilize bony alignment and support of the arch.2
Patients with stage I and II sprains require follow-up with an orthopedic surgeon or podiatrist; those with stage III sprains and fractures require follow-up with a foot and ankle subspecialist.
REFERENCES:
1.
Nunley JA, Vertullo CJ. Classification, investigation, and management of midfoot sprains: Lisfranc injuries in the athlete.
Am J Sports Med.
2002;30:871-878.
2.
Mullen JE, O’Malley MJ. Sprains-residual instability of subtalar, Lisfranc joints, and turf toe.
Clin Sports Med.
2004;23:97-121.
3.
Umans HR. Imaging sports medicine injuries of the foot and toes.
Clin Sports Med.
2006;25:763-780.
Phase 3 Data Support Oral Orforglipron for Weight Maintenance After GLP-1–Based Weight Loss
December 19th 2025Topline Phase 3 ATTAIN-MAINTAIN data show oral orforglipron met primary and key secondary endpoints for weight maintenance after prior GLP-1–based injectable therapy in adults with obesity.