Angiofibromas and neoplasms? CRP as a marker of depression? Colorectal metastases? Can you answer all 5 of this week's questions?
QUESTION 1:

For the discussion, click here.
Click here for the next question.
For the answers, click here.
An 8-year-old boy presents with multiple, asymptomatic red to brown, variably sized papules on the face. The diagnosis is adenoma sebaceum, or facial angiofibromas.
QUESTION 2:
For the discussion, click here.
Click here for the next question.
For the answers, click here.
QUESTION 3:

For the discussion, click here.
Click here for the next question.
For the answers, click here.
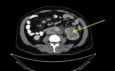
A CT scan of the abdomen of a 64-year-old man whose colorectal cancer had been diagnosed 4 years earlier revealed a new heterogeneous mass in the inferior pole of the left kidney with new bulky retroperitoneal lymphadenopathy encasing the left renal vein. Chest CT revealed multiple pulmonary nodules. Biopsies confirmed metastatic adenocarcinoma of the colon.
QUESTION 4:

For the discussion, click here.
Click here for the next question.
For the answers, click here.
A 53-year-old woman complained about the sudden onset of a widespread itchy rash. The patient had disseminated granuloma annulare.
QUESTION 5:

For the discussion, click here.
For the answers, click here.
ANSWER KEY:
Question 1. Answer: e
Question 2. Answer: a
Question 3. Answer: b
Question 4. Answer: b
Question 5. Answer: b