Injuries and overuse often are the cause of knee disorders, but chronic conditions also create problems. This week’s photo quiz offers several presentations to test your knowledge.

Question 1:
For 2 months, a 29-year-old man had pain and circular, soft swelling over the anterior left knee, superficial to the patellar ligament. Pain was minimal and associated with extension and flexion. He had been employed laying floor tile for 10 years.
NEXT QUESTION »
For the discussion, click here.

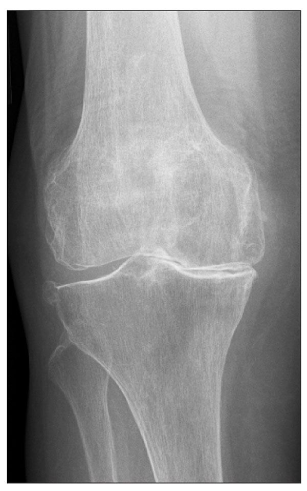
Question 2:
An 81-year-old man presented with a 1-year history of pain in his right knee. The pain had become more severe over the previous 2 months, but he denied any acute trauma or injury. The knee had limited range of motion. This anteroposterior x-ray view shows severe degenerative changes. The diagnosis was degenerative joint disease.
NEXT QUESTION »
For the discussion, click here.

Question 3:
A 28-year-old man sought medical attention for a minimally pruritic “rash” on both knees. The eruption consisted of well-demarcated erythematous plaques covered by silvery scale.
NEXT QUESTION »
For the discussion, click here.
For the answer, click here.

Question 4:
After an accident on the lawn, a large bruise developed over the knee of a 58-year-old woman who was otherwise in good health. The bruise had largely resolved within several weeks, but she sought medical care because of a persistently tender swelling just below and just medial to the inferior portion of the patella.
Continuing swelling and pain should alert the clinician to a problem more serious than a mere bruise.
NEXT QUESTION »
For the discussion, click here.

Question 5:
For 1 week, a 77-year-old man had a fever and a tender, nonpruritic rash on the anterior aspect of both knees and on both palms. Two weeks earlier, he had hives, which ameliorated after treatment. He also had headaches almost daily. The lesions are a cutaneous manifestation of coccidioidal infection.
ANSWER KEY »
For the discussion, click here.
ANSWER KEY:
Question 1. D
Question 2. D
Question 3. B
Question 4. C
Question 5. D