A 44-year-old man arrives at the ED via ambulance complaining of knee pain and inability to bend or fully straighten his left leg. He had been in a wrestling competition.
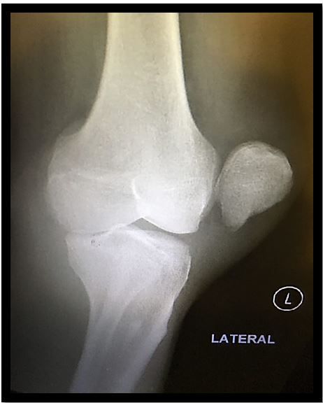
Radiograph of left knee, lateral view (Click to enlarge)

History of present illness. A 44-year-old man was brought to the emergency department (ED) by ambulance for left knee pain after an injury during a wrestling competition. He is unable to bend or to fully straighten his leg. He denies any other injury and has no other complaints.
Vital signs, physical examination. Vital signs were normal. Physical examination also was normal except for a left locked knee with a deformity of the knee cap. Distal pulses were intact.
Initial concerns
Testing. Radiograph was taken of left knee; see image at right for x-ray image (Please click to enlarge).
Questions
1. What does the case image show?
2. What should you do next?
Please click here for answers and discussion.
Answers/discussion
1. What does the case image show? A lateral patellar dislocation
2. What should you do next? Attempt manual reduction or call an orthopedist
Discussion
Patellar dislocation is an uncommon injury, often caused by a direct blow to the inner anterior patellar often during a forceful fall onto the knee. This results in a lateral dislocation. If the patella remains dislocated, as in this case, there will be pain, a noticeable deformity, and the knee will be locked. If the patella spontaneously reduces, there will be only pain and a positive patellar apprehension sign, ie, when pressure is applied to the inner patella in a lateral direction, the patient becomes nervous that the knee cap feels unstable and might go out again.
Symmetry of distal pulses should be checked with any orthopedic injury, but especially so with the knees. This should be done before x-rays are taken. Testing for ligamentous laxity can often occur after x-rays.
X-rays in a patellar dislocation will be abnormal if the knee cap is still out of position, but even after reduction it may show small osteochondral fractures in about 35% of patients.
Treatment of a patellar dislocation is reduction, which is usually quite easy if the knee is positioned in a way to minimize tension, with knee extension, and hip flexion. Analgesia should be provided but sedation is rarely required. After reduction, if there are no other concerning injuries, the patient can be sent home with crutches and a knee immobilizer to follow up with an orthopedist. For more details, click on sample page to the right to enlarge, then focus on highlighted area.
Conclusion. Knee cap was reduced in the ED. Follow-up with an orthopedist was arranged.
Patellar Dislocation fromThe Emergency Medicine 1-Minute Consult Pocketbook
