At risk for mesenteric ischemia-an uncommon but feared cause of abdominal pain-are the elderly and chronically ill.
Click figures to enlarge.

A 95-year-old woman with a history of gastroesophageal reflux disease, hypertension, hypothyroidism, aortic valve surgery and warfarin therapy, and remote cholecystectomy presents to the emergency department with mid-epigastric pain and non-bloody, non-bilious emesis of 2 days’ duration. She states that the pain is constant and not affected by activity, but does seem worse after meals. She denies any fever, chest pain, or trouble breathing. She denies recent antibiotics, recent travel, or any known ill contacts.
Her vital signs are normal except for slight tachycardia, which improved with fluids. HEENT: Eyes clear. Oropharynx is moist. LUNGS: Clear. No wheezes or rales. HEART: Regular rate and rhythm. ABDOMEN: Soft with mild diffuse tenderness. No rebound, guarding, or rigidity. EXTREMITIES: Trace edema. Laboratory investigation reveals the following: INR 1.7. Metabolic panel is normal except for BUN level of 43 mg/dL and carbon dioxide of 21 mmol/L. Hepatic function and lipase levels are normal. CBC count shows a white cell count of 19.6 x 109/L, but no bands. Urinalysis results are normal and results of a cardiac troponin test are negative.
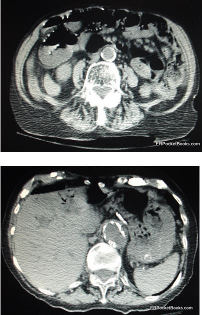
Figures at right show cuts from her CT scan of the abdomen and pelvis.
What’s your diagnosis?
What is the treatment?
Answer: Ischemic colitis with perforation
The CT scan of the abdomen showed evidence of severe ischemic colitis involving the transverse and descending colon with pneumatosis intestinalis. There is a small amount of free air from perforation which appears black at the upper part of the Figures. There is also portal venous gas, the black-appearing air within the liver from gas draining out of the colon into the liver. Finally, the aorta appears calcific and somewhat enlarged but without evidence of leakage.
Discussion
Mesenteric ischemia is an uncommon but feared cause of abdominal pain that mostly affects the elderly and the chronically ill. Presentation usually includes abdominal pain, frequently out of proportion to examination findings at least early on, and often vomiting and/or diarrhea which often will have gross or occult blood. The time course of symptoms depends on whether the cause is embolic, thrombotic, veno-occlusive, or the result of hypotension and low flow.
Physical examination should include listening for atrial fibrillation, palpating for abdominal tenderness, and stool guaiac testing. Peritonitis may eventually develop once the disease progresses and is an ominous sign. Testing for mesenteric ischemia may show leukocytosis, acidosis, and elevated lactate levels. Imaging will often show thickened bowel wall and may also show air bubbles in the intestinal wall (pneumatosis) and rarely even in the portal venous system within the liver. Narrowing or occlusion of mesenteric vessels may also be noted when IV contrast is used.
Supportive care usually involves IV fluids, antibiotics, and nasogastric drainage. Definitive care usually involves heparin infusion followed by either angioplasty by interventional radiology or surgery with a general or vascular surgeon. Prognosis can be good when the condition is picked up early, but unfortunately the presentation may be nonspecific early on when intervention can do the most good. Later in the course of the disease patients will develop more specific findings that suggest the condition. Unfortunately once this occurs the prognosis is significantly worse and the mortality quite high. See the Table for more details.
Table.
Mostly supportive, but 5% get peritonitis, need surgery
dz, disease; DVT, deep venous thrombosis; BP, blood pressure; Pap, papaverine; AF, atrial fibrillation.
Clinical Tips for Using Antibiotics and Corticosteroids in IBD
January 5th 2013The goals of therapy for patients with inflammatory bowel disorder include inducing and maintaining a steroid-free remission, preventing and treating the complications of the disease, minimizing treatment toxicity, achieving mucosal healing, and enhancing quality of life.