Evaluation of a radiograph's quality requires some understanding of the technical factors involved in the production of an x-ray image. Without such understanding, the risk of making an interpretive error is increased.

Figure 1

Figure 2

Figure 3

Figure 4

Figure 5
Much medical analysis is based on pattern recognition. Physicians come to recognize certain patterns as normal and others as abnormal, and the discernment of such patterns aids them in making diagnoses and other decisions. The interpretation of chest radiographs is no different. However, to accurately identify any pattern in a radiograph, you must first make sure that the study was obtained properly.
Evaluation of a radiograph's quality requires some understanding of the technical factors involved in the production of an x-ray image. Without such understanding, the risk of making an interpretive error is increased. Here I present a simple system for evaluating the technical quality of frontal chest radiographs by examining 4 key factors. For the fullest appreciation of this discussion, the benefits of watching a technologist acquire a radiograph cannot be overstated.
To systematically assess the quality of a frontal chest radiograph, use the mnemonic RIPE film. The "R" stands for rotation; "I," the degree of inspiration; "P," the position of the patient; and "E," the exposure of the film.
ROTATION
A critical factor in the acquisition of a good-quality frontal radiograph of the chest is the patient's orientation with respect to the film or-in this age of digital images-with respect to the cathode ray (CR) device. Good-quality chest radiographs are described as truly "straight."
To acquire a straight film, the technologist must align the patient so that he or she is exactly perpendicular to the x-ray beam. Any degree of deviation from the perpendicular will result in a rotated film.
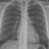
The degree of rotation in a radiograph can be determined by analyzing the relationship of the medial heads of the clavicles to the adjacent spinous processes in the upper thorax. In a truly straight film, the spinous processes lie equidistant from the medial heads of the clavicles (Figure 1).
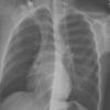
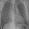
Rotation is expressed by describing patient obliquity in relation to the film or CR device. In a radiograph in which the patient is rotated right posterior oblique, the medial aspect of the clavicle on the left will appear closer to the spinous process of the thorax than will that of the contralateral side (Figure 2). The opposite is also true. In Figure 3, the same patient is rotated left posterior oblique (the patient's left shoulder was touching the cassette posteriorly and the right shoulder was rotated anteriorly). Notice that the medial head of the clavicle on the right now appears closer to the spinous process of the thorax.
As Figures 1, 2, and 3 demonstrate, the degree of rotation can have a profound effect on the radiographic appearance of a normal chest. On a rotated film, the mediastinal and hilar regions can appear markedly different than they would on a straight film. This altered appearance could potentially lead one to incorrectly suspect a mediastinal mass or other abnormality.
INSPIRATION
In a radiograph of the chest, the degree of inspiration is also extremely important. If the patient's inspiratory result when the film was obtained was suboptimal, then the vascular structures may appear crowded and indistinct, giving an appearance that can mimic congestive heart failure. The cardiac silhouette may also appear falsely enlarged.
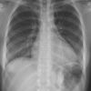
To check for an adequate degree of inspiration, count the anterior ribs on the right. In a good radiograph, 6 anterior ribs should be visible above the right hemidiaphragm. The radiograph used to demonstrate proper alignment also shows evidence of a good degree of inspiration (see Figure 1). A radiograph obtained in the same patient but in expiration looks very different (Figure 4); one might be tempted to diagnose atelectasis or pneumonia in the right lung base. The pulmonary vasculature also appears more prominent, which could lead to an incorrect diagnosis of pulmonary venous hypertension.
POSITION
The third important factor in an assessment of the technical quality of a chest radiograph is correct identification of the position of the patient at the time the film was acquired. A supine radiograph or semi-erect film looks different from an upright radiograph. The best way to assess patient position is to search the image for gas-fluid levels. These are most commonly seen in the gastric fundus. If one is visible (Figure 5), you can be sure the image was obtained with the patient upright.
The search for gas-fluid levels can also be helpful in the assessment of decubitus views. The absence of a gas-fluid level does not guarantee that the patient is not upright, but it does suggest that the film was acquired with the patient supine or semi-erect.
Almost all radiographs obtained in an outpatient setting are acquired with the patient upright and are posteroanterior views. The x-ray beam passes from the source, through the patient, and then to the film or CR device. Patients are instructed to extend their arms forward and out, which displaces the scapulae laterally with respect to the lungs. Supine or semi-erect images are typically acquired in inpatient settings and are anteroposterior views: to obtain the image, the technologist places the x-ray source in front of the patient and the film/ CR reader behind the patient. The position of the scapulae can serve as a clue that a film was acquired anteroposteriorly.
If the patient's position in a film is incorrectly identified, the appearance of the pulmonary vasculature may be misinterpreted. In the upright position, gravity causes the flow of blood in the lungs to favor the lower lobes. When pulmonary venous pressure increases (a common precursor to congestive heart failure), the upper lobe vessels become larger and resemble those in the lower lobe. However, the vessels in the upper and lower lobes also look similar in a healthy pa- tient who is supine (because gravity affects the pulmonary vasculature more evenly in this position). Thus, pulmonary venous hypertension may be mistakenly identified if the clinician fails to note that a film was acquired while the patient was supine.
EXPOSURE
This is the fourth technical factor that influences chest film quality. Exposure refers to the amount of x-ray energy that passes through the patient during the acquisition of the image. The technologist acquiring the radiograph sets 2 basic parameters:
For a standard posteroanterior view of the chest, settings of 125 kV and about 3 to 4 mAs are typically used. Together, these 2 parameters determine the degree of penetration and the amount of contrast in the film. As the number of kV used for the exposure is increased, the technologist decreases the duration to achieve the same x-ray penetration of the patient; however, this results in less contrast in the image. Conversely, as the duration of the exposure is increased, fewer kV of radiation are needed to achieve comparable penetration; this results in an increase in contrast. However, with longer exposures, patient motion (breathing) is more likely to reduce the quality of the image.
A good radiograph should demonstrate adequate penetration of the patient and sufficient contrast to distinguish between adjacent structures of different densities. Exposure is best assessed by trying to visualize the intervertebral disks in the lower thoracic spine through the heart. You can also try to identify pulmonary vessels posterior to the heart on the left. If you can clearly identify these structures, the exposure is probably adequate. These findings are visible in the normal radiograph shown in Figure 1.
Normal anatomy is not well visualized on either overexposed or underexposed radiographs. In addition, certain abnormalities, such as a small nodule in the lung, may not be visible on an overexposed film; others, such as a small lucency of bone suggest-ing a focal cancerous metastasis, may not be visible on an underexposed film.