For a month, an obese 50-year-old woman with type 2 diabetes mellitus, hypercholesterolemia, and hypertension had blurry vision in both eyes. During this time, she also had ataxia and right-sided numbness. For the past 2 days, she had had horizontal, binocular diplopia with right gaze.
For a month, an obese 50-year-old woman with type 2 diabetes mellitus, hypercholesterolemia, and hypertension had blurry vision in both eyes. During this time, she also had ataxia and right-sided numbness. For the past 2 days, she had had horizontal, binocular diplopia with right gaze.

Examination revealed visual acuity of 20/40 in the right eye and 20/60 in the left eye, symmetrical 5-mm pupils, and no ptosis of either eyelid. Assessment of extraocular motility showed an adduction deficit of the left eye (A). Horizontal nystagmus occurred in the right eye with extreme right gaze. Left internuclear ophthalmoplegia was diagnosed, and a full neurological workup was undertaken.
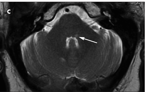
A CT scan of the brain revealed 3 to 4 cm of vasogenic edema in the right posteroinferior parietal-occipital area. Axial T1-weighted (B) and T2-weighted (C) images showed an enhancing lesion in the medial longitudinal fasciculus. A full-body CT scan was negative for malignancy. Lumbar puncture revealed oligoclonal bands in the cerebrospinal fluid; a workup for Lyme disease, Cryptococcus infection, fungal infection, HIV and other viral infections, and bacterial (including acid-fast bacilli) infection yielded negative results.

These results confirmed the suspected diagnosis of tumefactive (atypical) multiple sclerosis (MS). This rare form of demyelinating disease is characterized by atypical MRI findings of mass-like demyelination.1

Patients with MS often present with unilateral or bilateral internuclear ophthalmoplegia2 and typically report vague visual complaints, blurry vision, and-rarely-double vision. Signs include weakness or paralysis of adduction and horizontal jerk nystagmus of the abducting eye.
Isolated decreased eye adduction is also associated with myasthenia gravis, thyroid-related eye disease, inflammatory pseudotumor, and tumors. Unilateral internuclear ophthalmoplegia is more common in elderly patients and is usually caused by a cerebral stroke.3
REFERENCES:1. Selkirk SM, Shi J. Relapsing-remitting tumefactive multiple sclerosis. Mult Scler. 2005;11:731-734.
2. Keane JR. Internuclear ophthalmoplegia: unusual causes in 114 of 410 patients. Arch Neurol. 2005;62:714-717.
3. Kim JS. Internuclear ophthalmoplegia as an isolated or predominate symptom of brainstem infarction. Neurology. 2004;62:1491-1496.
Obesity Linked to Faster Alzheimer Disease Progression in Longitudinal Blood Biomarker Analysis
December 2nd 2025Biomarker trajectories over 5 years in study participants with AD show steeper rises in pTau217, NfL, and amyloid burden among those with obesity, highlighting risk factor relevance.