What are the characteristics of this blistering rash caused by exposure to UV light?
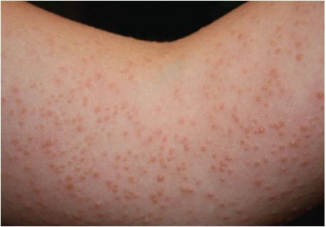
This intensely itchy, blistering rash on the forearms and upper chest of a 13-year-old girl occurred after a day at the beach. The girl had polymorphic light eruption (PMLE), the most common abnormal reaction to UV light.

All of the following statements about PMLE are true, except: