Chest x-ray in an older man confirmed a diagnosis of pneumonia but revealed an asymptomatic lesion in the left humerus. What is in the differential?
Figure 1. Click on image to enlarge. Expanded caption below.

Figure 2. Click on image to enlarge. Expanded caption below.

Figure 3. Click on image to enlarge. Expanded caption below.

Figure 4. Click on image to enlarge. Expanded caption below.

A 68-year-old man with no significant medical history had a flu-like illness for three weeks including a cough that produced purulent sputum. He had no fever, chills, chest pain, or ear pain, but felt lethargic. In spite of this, he went to work every day. Three months earlier, he received Prevnar 13 vaccine IM in the left deltoid, and a pertussis booster vaccine (Tdap) SC, but did not receive vaccination against influenza. Because the productive cough continued, bringing up copious frothy secretions, he went to an urgent care facility for evaluation. On examination, his vital signs were: temperature, 37 oC, blood pressure, 112/80 mm Hg, pulse, 80 beats/min, respiratory rate, 20 breaths/min. On auscultation, bibasilar wheezing was noted (L > R). Initial peak flow measured 350 L/min, which improved to 370 L/min after a respiratory treatment. No labs or cultures were taken. Posterioranterior (Figure 1) and lateral radiographs revealed left middle lobe opacification, confirming a diagnosis of pneumonia. The patient received azithromycin orally for 5 days and an albuterol inhaler and improved.
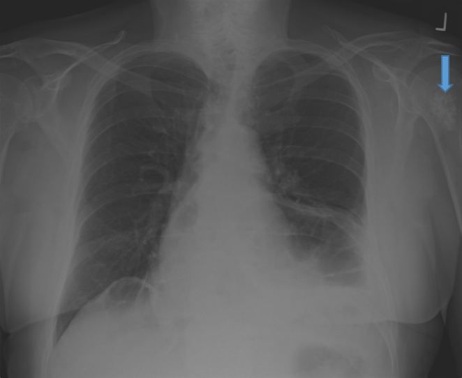
In addition to pneumonia, the final radiologic report mentioned “lytic lesions in the proximal left humerus” (Figure 1, arrow) and recommended follow up with an orthopedic specialist. The patient had no history of cancer, no bone pain, or limitation of range of motion of the left arm.
Differential Diagnosis
In medicine, we learn to “think of the worst diagnosis and hope for the best.” There are several characteristics that distinguish benign from malignant skeletal lesions including age at presentation and radiographic features demonstrated by the lesion. The differential diagnosis of lytic bone lesions in a person ≥40 years old includes 1) multiple myeloma, which has a classic triad: marrow plasmacytosis, lytic bone lesions, and a serum and/or urine M component; and 2) metastatic cancer. The latter most commonly causes a destructive bone lesion in adults.
Carcinomas that commonly spread to bone include: breast, lung, prostate, thyroid, renal and bladder. The first three primaries account for 80% of all bone metastases.1 Bone metastases, usually very painful, can occur in any bone, but more commonly are seen in the spine, pelvis, and thigh.2
One case report3 described progressive osteolysis and surface chondrolysis of the proximal humerus following Influenza vaccination as a result of intra-articular and intraosseous vaccination placement. Lytic bone lesions have not been reported following Prevnar 13 vaccination.
Lytic lesions due to benign bone tumors include: cysts; aneurysmal bone cysts (ABC); non-ossifying fibroma (NOF); and enchondroma, the last occurring in patients between the ages of 5 and 70 years. Patients between 15 and 40 years of age account for approximately 60% of cases of enchondromas.
Discussion
Depending on appearance, lytic bone lesions are classified as either a normal variant or something requiring further investigation. By plain radiograph imaging, it is difficult to assess a lytic lesion as benign or malignant. More precisely, one should describe whether the process looks aggressive or non-aggressive.4
Zone of transition from normal to abnormal bone often best differentiates an aggressive from non-aggressive lesion. A very definite, sharp, and therefore narrow area (zone) between the normal and abnormal bone indicates a non-aggressive lesion.4
Incidental lytic lesions commonly appear on plain radiographs. Enchondroma is commonly discovered incidentally.5 Eighty-five percent are asymptomatic. Enchondroma is thought to occur either as an overgrowth of the cartilage that lines the ends of the bones, or as a persistent growth of original, embryonic cartilage. Enchondromas present most often as solitary tumors. In rare cases, multiple tumors can appear as part of a condition such as Ollier's disease or Maffucci's syndrome. Most enchondromas are located in the medullary cavity of tubular bones. Common locations include: the metatarsal and metacarpal bones, distal femur, and proximal humerus.5 Enchondromas typically are small 1- to 2-cm lytic lesions with non-aggressive features: narrow zone of transition and sharply defined scalloped margins, which may have mild endosteal scalloping. They usually contain white spots or calcification. The white areas of the tumor show a pattern of rings and arcs (“popcorn appearance”) that indicates the tumor contains cartilage.
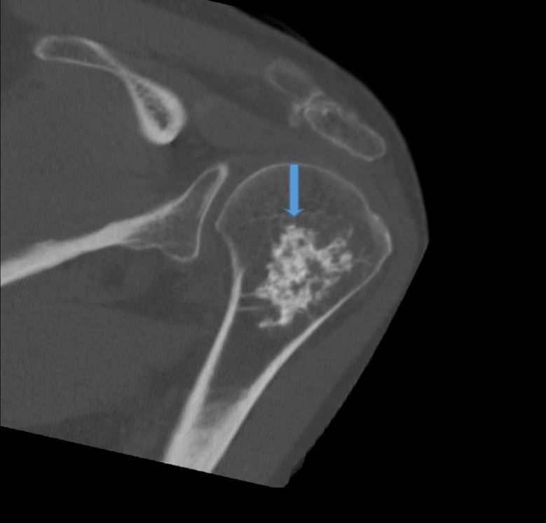
Based on the appearance of the lytic lesion in this patient, the orthopedic physician’s clinical judgement was that it was benign. Consequently, he repeated the radiographs (Figure 2). Even though the chance of malignancy (low-grade chondrosarcoma) is approximately 1%, this patient had noncontrast CT (Figure 3) and MRI (Figure 4) scans.
Final diagnosis: benign enchondroma.
Expanded figure captions
Figure 1. Posterioanterior chest radiograph showing left middle lobe opacification and lytic lesion (arrow) in the left proximal humerus.
Figure 2. Anteroposterior radiograph of the left proximal humerus and shoulder. Note: 5-cm calcified lesion (arrow) without evidence of cortical erosion. The tumor margins are sharp and the “popcorn” appearance of calcified cartilage is typical of enchondroma.
Figure 3. Noncontrast axial computed tomography (CT) of the left shoulder reveals a lobulated lesion within the proximal humeral metaphysis with chondroid matrix, consistent with enchondroma. The adjacent cortical bone is intact. The lesion measures approximately 5 cm in length.
Figure 4. Noncontrast multisequence mutiplanar magnetic resonance (MR) imaging demonstrates a well-circumscribed lobulated lesion within the metaphysis of the proximal humerus demonstrating heterogeneous diminished signal on T1-weighted images and heterogeneous bright signal on T2-weighted images characteristic of chondroid matrix. It measures 5.1 cm length x 3.9 cm in width x 2.9 cm in AP dimension. The adjacent cortical bone is intact with no endosteal scalloping. There is no soft tissue component. Impression: benign-appearing enchondroma.
1. Longo D, Fauci A, Kasper D, et al. Harrison’s Principles of Internal Medicine. 18th ed. New York, New York: The McGraw Hill Companies; 2012.
2. Bone Diseases and Conditions, Bone Metastasis. Mayo Clinic Web site. Accessed March 28, 2016 and available at http://www.mayoclinic.org/diseases-conditions/bone-metastasis/basics/definition/con-20035450
3. Messerschmitt PJ1, Abdul-Karim FW, Iannotti JP, Gobezie RG. Progressive osteolysis and surface chondrolysis of the proximal humerus following influenza vaccination. Orthopedics. 2012;35:283-5. http://www.ncbi.nlm.nih.gov/pubmed/?term=Messerschmitt+PJ%2C+et.+al.+Progressive+osteolysis+and+surface+chondrolysis+of+the+proximal+humerus+following+influenza+vaccination
4. Bone tumours and benign lytic lesions. Norwich Image Interpretation Course. Accessed March 28, 2016 and available at: http://www.imageinterpretation.co.uk/tumour.php
5. Joyce D, Mesko NW, Ilaslan H, et al. Fortunately, enchondroma lesions are rarely malignant. Cleveland Clinic Web site, Consult QD. Accessed on March 25, 2016 and available at: http://consultqd.clevelandclinic.org/2015/02/fortunately-enchondroma-lesions-are-rarely-malignant/