The 32-year-old presents to the ED after 2 hours of acute nonpleuritic dyspnea--a first-ever episode. How would you proceed?
Chest x-ray

Hypoxia - sample page from the Emergency Medicine 1-Minute Consult pocketbook

Patient history
A 32-year-old woman with no significant medical history presents to an emergency department after experiencing 2 hours of painless dyspnea that came on suddenly while at she was at work. She has no chest discomfort, palpitations, fever, cough or other complaints and has never had this happen before.
Examination
Vital sign values are normal except for a respiratory rate of 24 breaths/min and oxygen saturation of 91%, which was repeated and confirmed. Results of the physical examination were otherwise normal. Specifically, neiter wheezing or rales were noted. She had no nail polish on that might have interfered with the pulse oximeter.
Initial differential diagnosis
Testing
Questions
Please click here for answers and discussion.
Answers
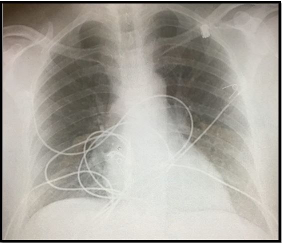
What does the case image show? It is a normal chest x-ray.
What should you do next? Order a d-dimer level, measure peak oxygen flow, and see if the hypoxia resolves with oxygen. Conduct further testing if hypoxia remains unexplained.
Case Conclusion
Results of D-dimer test were normal. Results of peak flow and other tests were all normal. Hypoxia did resolve with oxygen. After an hour and a half her symptoms and her hypoxia both resolved with oxygen removed. No definite cause was determined.
Discussion
Dyspnea has a plethora of causes, but the differential diagnosis becomes narrower when hypoxia also is present. It becomes narrower still when results of chest x-ray are normal. Other ways to categorize causes of dyspnea or hypoxia are shown in the highlighted area of the sample page in the image at right, above (please click to enlarge). They include whether symptom onset is acute or chronic and whether or not hypoxia resolves with oxygen.
The main considerations when hypoxia is present and chest x-ray is normal include PE, asthma/COPD, mucous plugging, shunt, and methemoglobinemia as well as conditions with a false negative chest x-ray such as early aspiration or pneumonia in the setting of dehydration or immune suppression. Mild pneumonia can also present with a negative chest x-ray, but one would not expect chest x-ray-negative pneumonia to cause hypoxia, except perhaps in the case of pneumocystis pneumonia. Shunt and toxigenic causes are unlikely since the patient’s hypoxia resolved with oxygen. Since the peak flow was normal, bronchospastic conditions are unlikely. Fortunately both her symptoms and hypoxia mysteriously resolved after about an hour and a half. The best theory might be that she had a mucous plug that resolved on its own.
For additional information, please see full excerpt on Hypoxia from The Emergency Medicine 1-Minute Consult pocketbook.