More than one-third of adults in the United States have high blood pressure, but close to half of them do not have it controlled. This compact slide show provides visual presentations of a range of related problems.
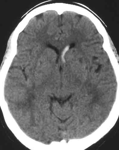
A 37-year-old woman who had hypertension presented with a diffuse, sharp, pounding headache. A noncontrast head CT scan showed a hemorrhage in the frontal horn of the lateral ventricle. This second slice showed a left intracranial cerebral hemorrhage in the basal ganglia region that extends into the lateral ventricle. Sudden onset of headache suggests intracranial or subarachnoid hemorrhage. Intracranial hemorrhage often is associated with a profound reactive rise in blood pressure.

Image courtesy of Gary Quick, MD and Maggie Law, MD.
Click here for the next image
A 73-year-old man with a history of long-standing essential hypertension, congestive heart failure, mild renal insufficiency, atrial fibrillation, and a mitral valve replacement presented with refractory hypertension. Renal angiography was performed. A 99% stenosis in the left renal artery (A) was corrected by balloon angioplasty (B) and stent deployment (C). A second renal angiogram after stent implantation revealed excellent flow to the distal vessels (D).


Images courtesy of Jonathan Greenblatt, MD, Jeffrey Guller, MD, and Robert A. Phillips, MD.
Click here for the next image
A 49-year-old man with a 15-year history of essential hypertension presented for a routine examination. Abdominal CT with contrast demonstrated a necrotic, partially enhancing mass in the region of the left adrenal gland. The radiographic findings and the significant elevation of catecholamines and their metabolites supported a diagnosis of pheochromocytoma. The cut surface of the 12-cm left adrenal mass, shown here, revealed pale tan-gray tissue with central edema and fibrosis. Hypertension, sustained or paroxysmal, is the clinical hallmark of pheochromocytoma.

Image courtesy of Timur M. Roytman, MD, Marina M. Roytman, MD, and Jinichi Tokeshi, MD.
Click here for the next image
An 81-year-old man with mild hypertension noticed a sudden painless loss of vision in his right eye. Dilated funduscopic evaluation showed a wedge-shaped area of intraretinal hemorrhages extending peripherally from a junction of a branch retinal artery that crossed over a corresponding branch retinal vein. The hemorrhages involved the macula. Numerous yellow-white lesions (cottonwool spots) were present in the superficial retina. He had a branch retinal vein occlusion.

Image courtesy of Leonid Skorin Jr, DO.
Click here for the next image
The initial complaint of a 79-year-old woman with a history of hypertension and diabetes mellitus was of mild headache, neck pain, and sore throat. A temporal artery biopsy confirmed the suspected diagnosis of temporal arteritis. Days later, she complained of severe tongue pain; the affected area was tender and cyanotic. She had an infarcted branch of the left lingual artery; her tongue eventually appeared as seen here. Her corticosteroid course was complicated by accelerated hypertension.

Image courtesy of Rebecca Galante, MD.
Click here for the next image
A 3-year-old boy whose blood pressure was elevated at his 3-year well-child visit was brought in for vague abdominal pain of 5 days’ duration. A hypertension evaluation revealed no definite abnormality. CT angiography showed apparently normal right and left main renal arteries. This angiogram demonstrates a thread-like appearance of the left main renal artery, just proximal to the bifurcation, confirming the diagnosis of renal artery stenosis.

Image courtesy of Brett D. Leggett, MD and Eyal Ben-Isaac, MD.
Click here to return to the first image.
Roche, Alnylam Advance Zilebesiran Into Phase 3 CV Outcomes Trial for Resistant Hypertension
September 9th 2025Zilebesiran’s twice-yearly dosing and sustained BP reductions could offer a new therapeutic approach for adults with resistant hypertension and high CV risk who are uncontrolled on current SOC regimens.