No longer considered a single entity, hypertension is part of a larger disease group that includes obesity, diabetes mellitus, kidney disease, and other concerns. Test your knowledge of hypertension and related problems.

Question 1:
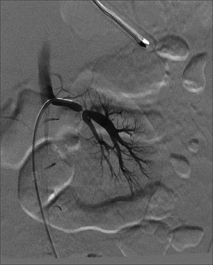
A 3-year-old boy with elevated blood pressure was brought in for vague abdominal pain. A hypertension evaluation revealed no definite abnormality. This angiogram shows a thread-like appearance of the left main renal artery, just proximal to the bifurcation, confirming a diagnosis of renal artery stenosis. Repeated blood pressure measurements confirmed that the boy had stage 2 hypertension.
NEXT QUESTION »
For the discussion, click here.

Question 2:
A 70-year-old woman reported that she could see only parts of things and that her vision was blurred in her left eye. She described her vision as “a puzzle with pieces missing.” She had no eye pain but saw floaters in her left eye. She also felt she could see an afterimage of light-“like a flash lingering for several minutes”-in her left eye even after the room lights were turned off. She had a hemicentral retinal vein occlusion.
NEXT QUESTION »
For the discussion, click here.

Question 3:
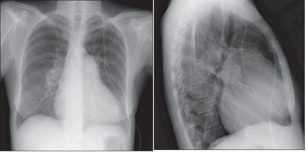
Cardiomegaly and prominent bilateral pulmonary arteries in the hilar areas can be seen in the posteroanterior chest radiograph from a patient with idiopathic pulmonary arterial hypertension. The lateral view also reveals enlarged pulmonary arteries and cardiomegaly without any evidence of congestive heart failure.
NEXT QUESTION »
For the discussion, click here.
For the answer, click here.

Question 4:
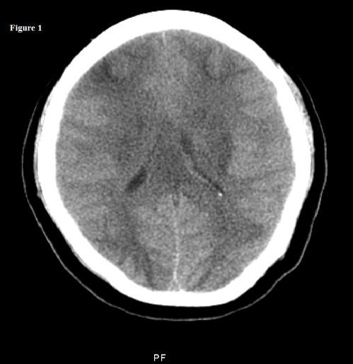
A 22-year-old pregnant woman presented at 36 weeks of gestation with a 1-day history of mild headache, blurred vision, and epigastric pain. Her blood pressure was 175/120 mm Hg. A brain CT scan without contrast showed marked diffuse vasogenic cerebral edema and partial bilateral uncal herniation and effacement of the suprasellar cistern. Bilateral low attenuation of the frontal and occipital lobes probably resulted from marked edema.
NEXT QUESTION »
For the discussion, click here.

Question 5:
This endoscopic view shows the stomach of a 52-year-old man with a history of chronic hepatitis C and alcohol abuse who was hospitalized because of bleeding esophageal varices. Seen is the classic macroscopic “snakeskin” appearance of portal hypertensive gastropathy-a fine reticular pattern that separates areas of erythematous mucosa. Histological examination disclosed extensive edema and submucosal vessel dilation.
NEXT QUESTION »
For the discussion, click here.

Question 6:
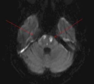
A 30-year-old woman with a history of hypertension, hyperlipidemia, diabetes, chronic kidney disease, and polysubstance abuse had a sudden change in mental status, weakness on her right side, slurring of speech, and new-onset dysphasia. Her blood pressure was 190/95 mm Hg. Brain DW-MRI showed patchy areas indicating increased signal in the pons on both sides; repeated DW-MRI showed a diffusion abnormality. She had a stroke attributed to hypertension caused by cocaine abuse.
ANSWER KEY »
For the discussion, click here.
ANSWER KEY:
Question 1. B
Question 2. C
Question 3. A
Question 4. A
Question 5. B
Question 6. F