Patient is in his forties; pain has been waxing, waning, worsening for 2 weeks. He has no other significant medical history. Do lab results hold clues? What's your Dx?

History of present illness. A man in his mid-forties with a history of type 1 diabetes presents to the emergency department (ED) after 2 weeks of waxing and waning but gradually worsening right groin and inner thigh pain that is aggravated by activity. Currently even at rest it is painful, and he is unable to sleep. He has also started using a cane for the first time in his life to assist ambulation. He denies any injury or fever but has had chills. He denies any rash or other complaints. Other than diabetes, he has no other significant past medical history and denies any recreational drug use.
Vital signs and physical examination. Vital signs are normal except for a temperature of 99.3°F. Physical examination is otherwise normal except for limping and pain with logrolling of the affected hip. There is more severe pain with forced internal rotation of the involved hip.
Initial diagnostic testing
UA: shows hematuria without pyuria
CBC: WBC = 9.4, Hb = 12.9, PLT = 519. ESR and CRP both moderately elevated
BMP: glucose 316, sodium 131. Everything else normal. No anion gap
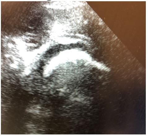
Imaging: see ultrasound image below

FDA Approves Guselkumab for Pediatric Plaque Psoriasis and Active Psoriatic Arthritis
September 30th 2025The FDA has approved guselkumab for children aged 6 years and older with moderate to severe plaque psoriasis or active psoriatic arthritis, making it the first IL-23 inhibitor authorized for pediatric use.