For 3 months, a 63-year-old man had experienced progressively worsening dyspnea. He denied fever, weight loss, and hemoptysis. Eight months earlier, he had had a right thoracotomy to drain a right empyema. Comorbidities included morbid obesity, type 2 diabetes mellitus, hypertension, and obstructive sleep apnea. However, he did not have any intrinsic lung disease.

For 3 months, a 63-year-old man had experienced progressively worsening dyspnea. He denied fever, weight loss, and hemoptysis. Eight months earlier, he had had a right thoracotomy to drain a right empyema. Comorbidities included morbid obesity, type 2 diabetes mellitus, hypertension, and obstructive sleep apnea. However, he did not have any intrinsic lung disease.
The patient was tachypneic; vital signs were otherwise normal. Breath sounds were diminished over the right hemithorax; crepitations and rhonchi were absent. There was a large reducible noncrepitant mass in the right scapular region. Bronchial breathing was audible over this mass.

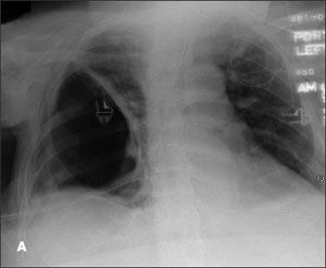
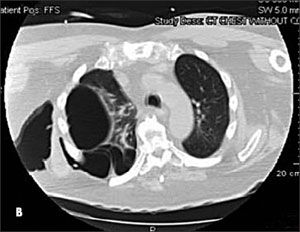
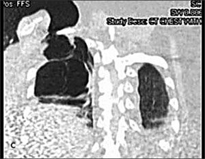
A chest radiograph showed herniation of a large right lung bulla through the intercostal space into the chest wall (A). This was confirmed on a CT scan of the thorax (B) with coronal reconstruction (C). His left lung was normal.
The patient sustained an acute coronary event, which worsened his already prohibitive surgical risk. Thus, surgery was deferred until his clinical condition stabilized.
Intercostal herniation of a lung bulla is extremely rare. Herniation of lung parenchyma is more common, although still rare. Limited data from case reports suggest that intercostal bullous herniation is usually a surgical complication and occurs in the setting of emphysematous lung disease.1-3

The herniation presents as a chest wall mass that may be asymptomatic or associated with pain or dyspnea. The mass is noncrepitant, which distinguishes it from subcutaneous emphysema and herniated lung parenchyma. Its dimensions change with the respiratory cycle: increasing with inspiration and decreasing with expiration. The hernia is usually easily reducible.
The diagnosis is readily made by imaging. CT provides additional information about the state of the underlying lung and orifice of the hernia.
Treatment is usually surgical excision. Ligation of the neck of the hernia under local anesthesia has been reported in a poor surgical candidate.3
REFERENCES:
1.
Victor S, Muthurajan S, Sekhar TG, et al. Giant cervical herniation of an apicalpulmonary bulla.
J Thorac Cardiovasc Surg.
1987;93:141-142.
2.
Konecny JA, Grosso MA, Fernandez J, et al. Images in cardiothoracic surgery.Herniation of emphysematous bulla through a chest tube site.
Ann Thorac Surg.
1999;68:584.
3.
Rathinam S, Collins FJ. Bullous herniation of the lung through an intercostaldrain site.
Eur J Cardiothorac Surg.
2003;23:240.