Two weeks before admission, he had visited the emergency department (ED) because of the headache. Migraine was diagnosed and ibuprofen had been prescribed. The headache persisted despite NSAID therapy, and the patient returned to the ED 2 days later.
A 14-year-old boy was admitted to our hospital with a headache of 3 weeks’ duration and forehead swelling.
Two weeks before admission, he had visited the emergency department (ED) because of the headache. Migraine was diagnosed and ibuprofen had been prescribed. The headache persisted despite NSAID therapy, and the patient returned to the ED 2 days later. At that time, he had upper respiratory tract symptoms and a temperature of 39.4°C (102.9°F). CT scans of the head without contrast demonstrated pansinusitis with complete opacification of the frontal sinuses and frontal soft tissue swelling. The patient was admitted and given ampicillin/sulbactam intravenously for 3 days.
Cultures of blood obtained before antibiotic treatment showed no growth. The patient was discharged on a regimen of amoxicillin/clavulanate, which he was to take for an additional 12 days. Oral pseudoephedrine was added to his antibiotic regimen when the headache persisted.
The patient was still taking antibiotics when he was readmitted 10 days after his previous discharge. He described the headache as intermittent, with severe bilateral pressure in the frontal and temporal regions that was exacerbated by coughing and sneezing. He had been nauseous for the past 2 days and had vomited 3 or 4 times per day. He also complained of photophobia, sonophobia, generalized weakness, and decreased appetite. He denied smoking and using alcohol and illicit drugs. His past medical history was unremarkable.
On physical examination, the patient’s temperature was 39°C (102.2°F). Vital signs were normal. He appeared ill but was oriented times 3. There was soft tissue edema and frontal bossing of his forehead, with tenderness on percussion. The right optic disc was sharp; the left disc was not visualized. The patient also had rhinorrhea. There were no meningeal signs and there were no other remarkable physical findings.

The complete blood cell count was as follows: white blood cells, 8900/μL, with 62% granulocytes and 25% lymphocytes; platelets, 479,000/μL. Hemoglobin, 10.5 g/dL; hematocrit, 33% with normal indices. Electrolyte levels and liver function test results were normal. A blood culture showed no growth.
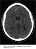
A head CT scan without contrast demonstrated an epidural abscess posterior to the frontal sinuses, with a cortical defect in the posterior wall of the left frontal sinus (Figure 1).
HOSPITAL COURSE
The abscess was drained by bicoronal incision with burr holes; bilateral frontal sinus burr holes were also made, and intranasal endoscopic ethmoidectomy and maxillary sinus antrostomy were performed. Purulent fluid was drained from all of the sinuses. Two additional CT-guided drainage procedures were performed during the second and third weeks because of reaccumulation of the abscess. During the fourth week, another frontal craniotomy was done; during the seventh week, revision of the sinus surgery was completed, with closure of the defect in the posterior wall of the sinus.
The initial culture of fluid from the abscess grew Lactobacillus species and Streptococcus viridans. The patient received ceftriaxone and metronidazole intravenously for 8 weeks, and amoxicillin/clavulanate for an additional 4 weeks. He remained afebrile during the hospitalization and his symptoms resolved after the first week of treatment.
Follow-up appointments were scheduled with the patient’s physician and for radiological studies, but the patient failed to keep them until 1 year later. At that time, he had no symptoms and signs. His prognosis is excellent.
DISCUSSION
Intracranial complications of sinusitis (ICS) occur in 3% to 11% of hospitalized children with sinusitis.1 In some reports, the incidence of epidural abscesses has surpassed that of subdural empyemas.2,3 Other intracranial complications (in decreasing order of frequency) are brain abscess, cavernous sinus thrombosis, and bacterial meningitis. Epidural abscesses are usually located frontally.4 The frontal and ethmoidal sinuses are usually involved.3,5
The frontal sinuses originate from ethmoid air cells that first appear in the frontal bone at 6 months. At 2 years of age, these sinuses start pneumatization-a process that is only completed in adolescence.6,7 The pathogenesis of an epidural abscess includes progression of septic thrombi from the sinuses through the valveless diploic veins that penetrate the dura, by direct extension of infection from osteomyelitis of the bony sinus walls, or by penetration through congenital or post-traumatic bone defects. Epidural abscesses slowly propagate because the dura is tightly attached, unlike subdural abscesses that expand in a preformed space.2,6,8

Adolescent males are affected more frequently than females as well as older and younger males. The mean duration of symptoms is 10 to 13 days before diagnosis. Only a minority of patients report symptoms or a history of sinusitis.2-4 Epidural abscesses often occur concurrently with periorbital cellulitis or Pott puffy tumor (forehead swelling associated with frontal subperiosteal abscess) (Figure 2), which leads to earlier investigation and diagnosis of the abscess.2,4,6,8
Clinical manifestations almost always include headache and fever. One-fourth of affected patients have vomiting and more than half have mental status changes. Seizures occur in up to 30% and meningeal signs or focal deficits (most frequent hemiparesis) are seen in up to 20% of affected patients. Papilledema and coma are uncommon.9
In half of affected patients alpha- and beta-hemolytic streptococci are isolated . Staphylococcus aureus is also a common pathogen.8Haemophilus influenzae and Enterobacteriaceae are less frequently involved. Anaerobes such as Peptostreptococcus, Fusobacterium, and Bacteroides species occur in 10% to 20% of cases and may work synergistically to perpetuate persistent infection. Half of cases are polymicrobial, and in almost 30% of cases no isolates are found.7-9 Lack of anaerobic cultures or previous antibiotic therapy may have rendered the cultures negative.
MRI is the imaging study of choice. In the largest series of children with ICS, MRI with gadolinium was diagnostic in 93%.9 CT scans with contrast have proved useful when MRI is not available.2,4,7
THERAPY
Recommended management includes prompt neurosurgical drainage as well as drainage of the obstructed sinuses (including fenestrated endoscopic sinus surgery [FESS]). Antibiotics usually include a third-generation cephalosporin (for gram-negative coverage, respiratory pathogens, and methicillinsusceptible S aureus), metronidazole (for anaerobes), and vancomycin (to cover for methicillin-resistant S aureus [MRSA]).3,8 Vancomycin may be discontinued if MRSA is not cultured from the infection. Antibiotics are given for 6 weeks.9

A small series of 4 patients treated with FESS and antibiotics alone had an excellent outcome.10 The authors of that study suggest conservative management of epidural abscesses when the patient has no focal neurological deficits, no raised intracranial pressure, and no subdural infection, and has adequate sinus drainage with establishment of bacteriological identification and antibiotic sensitivity.10 Two of the 4 patients in that series deteriorated transiently during the first 48 hours, but all improved after the first week. CT scans showed that the abscesses had decreased by 2 weeks and had resolved by 6 weeks.10
Epidural abscesses have a more favorable prognosis than other ICS. Mortality is low,2,6,8 although in one series, seizures subsequently developed in 4 of 11 patients.8
REFERENCES:
1.
Kuczkowski J, Narozny W, Mikaszewski B,Stankiewicz C. Suppurative complications of frontalsinusitis in children.
Clin Pediatr (Phila).
2005;44:675-682.
2
. Germiller JA, Monin DL, Sparano AM, Tom LW.Intracranial complications of sinusitis in childrenand adolescents and their outcomes.
Arch OtolaryngolHead Neck Surg
. 2006;132:969-976.
3.
Lerner DN, Choi SS, Zalzal GH, Johnson DL.Intracranial complications of sinusitis in childhood.
Ann Otol Rhinol Laryngol.
1995;104(4, pt 1):288-293.
4
. Adame N, Hedlund G, Byington CL. Sinogenicintracranial empyema in children. P
ediatrics.
2005;116:e461-e467.
5
. Hakim HE, Malik AC, Aronyk K, et al. Theprevalence of intracranial complications in pediatricfrontal sinusitis.
Int J Pediatr Otorhinolaryngol.
2006;70:1383-1387.
6.
Bambakidis NC, Cohen AR. Intracranial complicationsof frontal sinusitis in children: Pott’s puffytumor revisited.
Pediatr Neurosurg
. 2001;35:82-89.
7
. Kombogiorgas D, Solanki GA. The Pott puffytumor revisited: neurosurgical implications of thisunforgotten entity. Case report and review of the literature.
J Neurosurg.
2006;105(2 suppl):143-149.
8
. Jones NS, Walker JL, Bassi S, et al. The intracranialcomplications of rhinosinusitis: can they be prevented?
Laryngoscope.
2002;112:59-63.
9
. Yogev R. Focal suppurative infections of the centralnervous system. In: Long SS, Pickering LK,Prober CG, eds.
Textbook of Principles and Practiceof Pediatric Infectious Diseases.
Philadelphia:Churchill Livingstone; 2003:301-312.
10
. Heran NS, Steinbok P, Cochrane DD. Conservativeneurosurgical management of intracranialepidural abscesses in children.
Neurosurgery.
2003;53:893-897.