Elevated serum uric acid level is pathognomonic for gout. Untreated gout may lead to tophi, nephropathy, and uric acid nephrolithiasis.

Photo courtesy of Alexander K. C. Leung, MD and Justine H. S. Fong, MD
The first metatarsophalangeal joint of this patient’s left foot was erythematous, hot, and tender. He could not bear weight on the foot. The intense pain of this, his third epidsode of gout, was resistant to treatment with colchicine. Read the full case.

Photos courtesy of Peter Simkin, MD
Figure A depicts the hands of a patient with severe tophaceous gout. Figure B depicts the patient’s hands after 7 years of treatment with allopurinol and probenecid to maintain his serum urate level at 4 mg/dL. Even the largest tophi may be dissolved with use of appropriate medication and with sufficient patient adherence.

Photo courtesy of Preethi C. Kurakula, MD and Robert T. Keenan, MD, MPH
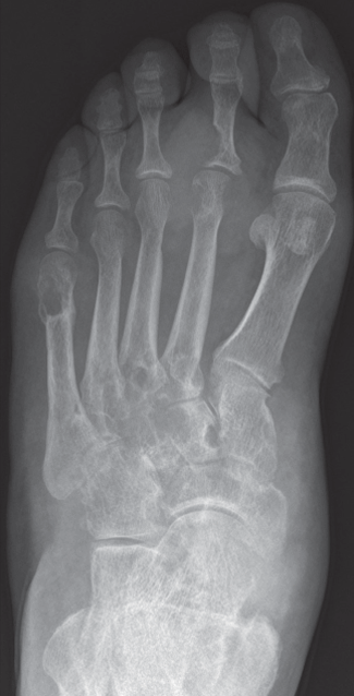
Recurrent acute gout attacks may lead to changes in joint structure visible on plain radiographs. In the x-ray film of the foot below, note the large radiopaque tophus over the second metatarsophalangeal joint and the periarticular punched-out erosions along the long axis of the bone, with overhanging edges and sclerotic rims. Joint space is generally very well preserved until late in the course of disease.

Photo courtesy of Samit Hirawat, MD, Achal Dhupa, MD, Kavita Goyal, MD, Arunabh, MD, and Pierre Moeser, MD
This x-ray film of the hand, taken of a 60-year-old man with symmetrical swelling, erythema, warmth, and tenderness of the metacarpophalangeal and proximal interphalangeal joints, shows typical radiographic findings of erosive tophaceous gout.

Photo courtesy of Douglas Kahn, MD, Mary Lou Courreg, MD, and Jonathan Stuart Crane, MD
The image below is of the distal interphalangeal (DIP) joint of a 76-year-old man with a diagnosis of gouty arthritis and tophi. The affected finger is erythematous and tender, with chalky subcutaneous deposits. DIP articulations are a common location for gouty tophi. This was a second acute attack of gout in 5 years; the patient was not taking any medication to maintain appropriate serum urate levels.

Photo courtesy of Les Trope, MD, Eric Capulla, MD, and Shlomo Trope, MD
The inflammation of the pinnae and bone-colored, asymmetrical, superficial lesions in the helix of the ear shown in the photograph below were seen in a 33-year-old man who also presented with joint pain and general malaise of 2 weeks duration. The opposite ear was similarly affected. The patient’s serum uric acid level was elevated, and joint aspiration revealed uric acid crystals. Radiographs of the joints showed no erosion. His grandfather had been treated for gout.

Photo courtesy of Doug Davenport and Samuel G. Poser, MD
This white lesion on the thumb of a 70-year-old man is surrounded by erythema. Analysis of fluid extracted after the lesion was lanced revealed negatively birefringent urate crystals, which confirmed a diagnosis of gout. Results of blood tests showed a serum uric acid level of 8.5 mg/dL (normal, 3.5 to 7.2 mg/dL). Monoarthritis is the classic presentation of gout (70%); polyarthritis is seen occasionally; nonarticulation sites, as seen in this case, are involved only rarely.
Atopic Dermatitis: The Pipeline and Clinical Approaches That Could Transform the Standard of Care
September 24th 2025Patient Care tapped the rich trove of research and expert perspectives from the Revolutionizing Atopic Dermatitis 2025 conference to create a snapshot of the AD care of the future.