A 53-year-old man became concerned when ever-increasing numbers of painful oral lesions developed on the buccal mucosa and tongue. A bland diet did not help. What does this look like to you? Test your clinical acumen with this week's quiz questions.
QUESTION 1:

For the discussion, click here.
Click here for the next question.
For the answers, click here.
A 53-year-old man became concerned when ever-increasing numbers of painful oral lesions developed on the buccal mucosa and tongue. A bland diet did not help.
QUESTION 2:

For the discussion, click here.
Click here for the next question.
For the answers, click here.
A 58-year-old man became concerned when he first noticed a flat, dark area on his left upper arm. The lesion was set against a background of fairly severe photodamage. Family history was positive for melanoma (mother and 1 of 4 sisters).
QUESTION 3:

For the discussion, click here.
Click here for the next question.
For the answers, click here.
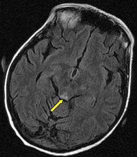
A 54-year-old woman was admitted to the hospital with a chief complaint of altered mental status and confusion of 2 days’ duration. She had a 2-week history of increased swelling in both legs and difficulty in walking. There was no reported vomiting, dyspnea, or increasing pain. She had been receiving chemotherapy for 5 months to treat metastatic pancreatic adenocarcinoma. Other relevant medical history included deep venous thrombosis, anemia, chronic hyponatremia, osteoporosis, irritable bowel syndrome, and seasonal allergies. Cranial nerve function was intact but ocular examination revealed bilateral horizontal nystagmus. Neuromuscular examination revealed bilateral lower extremity 4/5 strength with inability to stand or walk. MRI study of the brain revealed abnormal signaling in the periaqueductal gray matter.
QUESTION 4:

For the discussion, click here.
Click here for the next question.
For the answers, click here.
A 37-year-old man noted the recent appearance of a very itchy and scaly rash extending from the underarm onto the upper arm. He was in good health, had no pets, and had no exotic travel history.
QUESTION 5:

For the discussion, click here.
For the answers, click here.
A 69-year-old man noted the gradual onset of multiple small blisters on the hands. These lesions did not itch, but did hurt when the blisters eventually ruptured. The patient also had scattered similar lesions on both thighs and a few on the upper, anterior chest.
ANSWER KEY:
Question 1. Answer: a
Question 2. Answer: b
Question 3. Answer: d
Question 4. Answer: d
Question 5. Answer: c