Oral plaques; Post-MI depression; Weakness; Polycystic kidney disease
Test your skills in this 5-question quiz, starting here.QUESTION 1:

A 36-year-old man presented with the new onset of stinging and burning on the tongue. The lesions consist of well-defined whitish plaques, randomly scattered on the dorsum of the tongue. These plaques did not scrape off.
For the discussion, click here.Click here for the next question.For the answers, click here.
QUESTION 2:For the discussion, click here.Click here for the next question.For the answers, click here.
QUESTION 3:

A 38-year-old Asian man with a history of hypertension, depression, and alcohol abuse presented to a walk-in clinic with total body weakness that started when he awoke that morning after drinking heavily the night before. His medications included hydrochlorothiazide and fluoxetine, but he had not been taking either drug recently. An ECG was ordered.
For the discussion, click here.Click here for the next question.For the answers, click here.
QUESTION 4:

A 72-year-old man complained of slowly growing, painless lesions on his back. On physical examination, 2 contiguous, firm, hemispherical, nontender masses were found, with a black pore overlying each. A clinical diagnosis of epidermoid cysts was made.
For the discussion, click here.Click here for the next question.For the answers, click here.
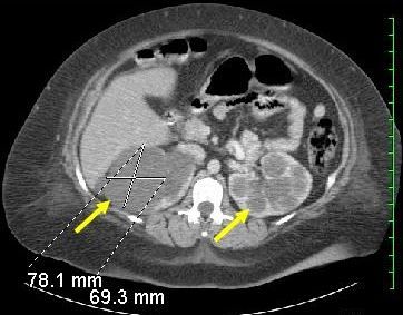
QUESTION 5:

This CT scan of a 38-year-old woman shows innumerable cystic lesions in both kidneys, suggestive of polycystic disease. A diagnosis of autosomal dominant polycystic kidney disease was made based on the patient’s family history and imaging findings.
For the discussion, click here.For the answers, click here.
ANSWER KEY:
Question 1. Answer: b
Question 2. Answer: d
Question 3. Answer: a
Question 4. Answer: d
Question 5. Answer: a