Flavonoid-rich berries; what cause of cerebral infarct; genital lesions; drowsy child; oral lesions. . . . can you answer the 5 quiz questions?
QUESTION 1:For the discussion, click here.Click here for the next question.For the answers, click here.
QUESTION 2:

For the discussion, click here.Click here for the next question.For the answers, click here.
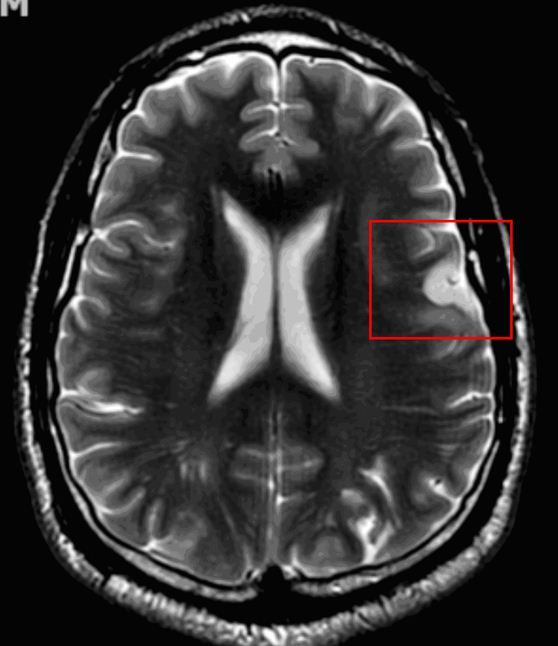
A 42-year-old man presented to the ED after experiencing multiple episodes of difficulty in speaking. Three years earlier, he had a DVT that was treated with anticoagulation. He had also sustained head trauma without loss of consciousness approximately 4 years earlier. The patient was a competitive bicyclist and maintained a rigorous training regimen. CT angiography of the head was unremarkable and MRA of the neck with contrast found no signs of stenosis, thrombosis, or dissection. MRI of the brain with contrast indicated a subacute infarct.
QUESTION 3:

For the discussion, click here.Click here for the next question.For the answers, click here.
A 27-year-old man sought medical attention because of a malodorous discharge from the groin area and a "few bumps" in the same location.
QUESTION 4:For the discussion, click here.Click here for the next question.For the answers, click here.
QUESTION 5:

For the discussion, click here.For the answers, click here.
A 53-year-old man became concerned when ever-increasing numbers of painful oral lesions developed on the buccal mucosa and tongue. A bland diet did not help.
ANSWER KEY:
Question 1. Answer: b
Question 2. Answer: e
Question 3. Answer: a
Question 4. Answer: b
Question 5. Answer: c