Acne?; Halo Nevus; Solitary Fibrous Tumor; idiopathic chilblains
QUESTION 1:

For the discussion, click here.
Click here for the next question.
For the answers, click here.
A 73-year-old patient presents with recent onset of “acne.”
QUESTION 2:

For the discussion, click here.
Click here for the next question.
For the answers, click here.
A halo nevus appeared on the arm of a young adult.
QUESTION 3:

For the discussion, click here.
Click here for the next question.
For the answers, click here.
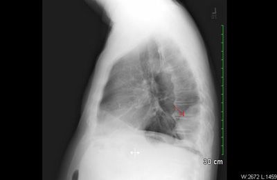
A 76-year-old man presented with left-sided chest pain after a fall. Chest films showed non-displaced fractures of the 7th and 8th ribs with a small effusion and a right postero-basal rounded opacity. A CT scan showed the 8th rib fracture and a prominent pleural-based soft tissue mass in the right lower lobe. Video-assisted thoracoscopic surgical technique was used to resect the mass. The histopathology showed a 9-cm solitary fibrous tumor (SFT) of the pleura, with negative margins.
QUESTION 4:

For the discussion, click here.Click here for the next question.For the answers, click here.
A 42-year-old homemaker noticed a discoloration on her palm. There were no symptoms, and she was in excellent health, took no medications, and had a negative family history for malignant melanoma.
QUESTION 5:

For the discussion, click here.
For the answers, click here.
A 20-year-old woman presented with a mildly painful, swollen, and discolored left toe of a week’s duration. She was wearing brown leather boots with cotton socks. There was no history of trauma to her feet or excessive cold exposure. The patient’s vital signs were all within normal limits. Assays were negative for antinuclear antibodies and rheumatoid factor. The history was notable only for intermittent tinea versicolor.
ANSWER KEY:
Question 1. Answer: d
Question 2. Answer: a
Question 3. Answer: a
Question 4. Answer: b
Question 5. Answer: d