This week’s questions challenge your dermatologic and radiologic skills, and then some. See how you fare…
QUESTION 1:

For the discussion, click here.
Click here for the next question.
For the answers, click here.
A woman presents with slowly expanding, asymptomatic, soft, red to red-brown facial plaques. There is no antecedent trauma and no regional adenopathy. Review of systems yields negative results.
QUESTION 2:
For the discussion, click here.
Click here for the next question.
For the answers, click here.
QUESTION 3:

For the discussion, click here.
Click here for the next question.
For the answers, click here.
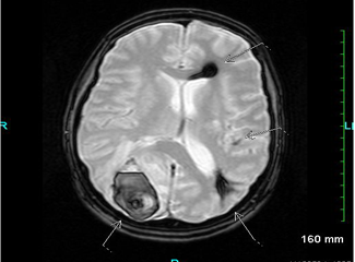
A 59-year-old woman with chronic hepatitis C presented with abdominal pain. She received warfarin for portal vein and superior mesenteric vein thrombosis and developed a severe headache with nausea, vomiting, and right-sided weakness. CT of the brain showed left frontoparietal intracranial bleeding. Warfarin was discontinued. Routine abdominal ultrasonography for hepatoma surveillance found new infiltrative liver lesions. Biopsy revealed hepatocellular carcinoma. The patient was referred for tumor embolization. Before the start of treatment, the patient developed severe right-sided headache, nausea, and vomiting, with visual field defect. Emergency CT of the brain revealed a hemorrhagic lesion in the right superior parietal lobe cortex/subcortex. MRI of the brain revealed a right posterior parietal lobe hematoma. Gradient echo MRI showed a small focus of low signal intensity in the left parietal subcortical white matter.
QUESTION 4:

For the discussion, click here.
Click here for the next question.
For the answers, click here.
An 81-year-old man presented to an urgent care facility with a 1-year history of pain in his right knee. He stated that the pain had become more severe over the previous 2 months. Physical exam revealed that the knee had limited range of motion. An AP view of the patient's right knee was obtained.
QUESTION 5:

For the discussion, click here.
For the answers, click here.
An 8-year-old boy presented with a solitary, nearly circular, asymptomatic pigmented lesion of the right anterior temple. His mother asserted that the lesion was enlarging and becoming darker. There was no family history of melanoma.
ANSWER KEY:
Question 1. Answer: a
Question 2. Answer: b
Question 3. Answer: a
Question 4. Answer: d
Question 5. Answer: c