Fundic gland polyps are the most common form of gastric polyps. Giant FGPs, however, are extremely rare.
Figure 1 (Click on images to enlarge)

Figure 2

Figure 3

Figure 4

A 76-year-old man was referred for evaluation of chronic intermittent dysphagia for solid food. The patient had a history of rectal cancer that was diagnosed 8 years earlier.
He also had a history of Schatzki ring. Dilatation had been performed in the past, with significant improvement in his symptoms. His examination was essentially unremarkable. Because of the recurrent nature of the symptoms, a repeated esophagogastroduodenoscopy (EGD) was performed.
The EGD showed a Schatzki ring that was successfully dilated using an 18- to 20-mm balloon dilator. Noted in the cardia was a severely erythematous and mildly elevated gastric lesion (Figure 1). An EGD examination performed 2 years earlier showed similar findings but with mild erythema and nodular mucosa (Figure 2). Previous biopsies from that lesion had revealed mild chronic gastritis.
Results of a repeated biopsy of the lesion found oxyntic-type gastric mucosa with few dilated glands and background mild chronic inactive gastritis.
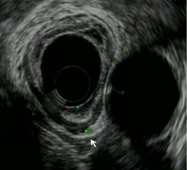
Subsequent endosonographic ultrasonography (EUS) was performed and showed a thickened (7- to 8-mm) gastric wall of the cardia (Figure 3, arrow) with the rest of the stomach showing normal thickness. Endoscopic mucosal resection was performed.
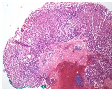
Pathology results were consistent with giant fundic gland polyp (>2 cm). Microscopic examination of the gastric lesion showed cystically dilated fundic glands, concentrated in the center of the biopsy (Figure 4). The patient did well and was discharged home.
Discussion
Fundic gland polyps (FGPs) are the most common form of gastric polyps.1 They are usually small (<5 mm), asymptomatic lesions that arise from gastric corpus.2 FGPs occur in either sporadic form or in association with inherited polyposis syndromes.3 There have been fewer than 10 cases of giant FGPs reported in the literature.1-3 Patients with sporadic FGPs appear to be protected from Helicobacterpylori colonization, and these patients rarely acquire the infection after regression of the polyps.3 On the other hand, long-term (more than 1 year) use of proton pump inhibitors (PPIs) has been associated with FGPs,3 and disappearance of such lesions was noted on withdrawal of PPIs.
The diagnosis of FGPs is based on pathology. The presence of cystically dilated fundic glands beneath a normal gastric foveolar epithelium is characteristic, and inflammatory changes in the surrounding mucosa are usually absent.2,3 FGPs have distinct endoscopic features. They are confined to the acid-secreting mucosa of the gastric corpus. They are usually small, sessile, dome-shaped, and similar in color to the surrounding mucosa.1
Sporadic FGPs, including giants ones, rarely show neoplastic progression, with fewer than 1% of those reported in the literature showing evidence of low-grade dysplasia.2 Surveillance endoscopy does not appear to be necessary unless FGPs are part of a polyposis syndrome.3
There are no current guidelines for management of sporadic FGPs. Small polyps may be safely observed. On the other hand, giant FGPs may require endoscopic or surgical removal. Therapeutic decisions should be tailored to the clinical circumstances and the patient’s wishes.
References:1. El Hajj II, Hawchar M, Soweid A, et al. Giant sporadic fundic gland polyp: endoscopic and endosonographic features and management. World J Gastroenterol. 2008;14:6593-6595. (Full text)
2. Burt RW. Gastric fundic gland polyps. Gastroenterology. 2003;125:1462-1469.
3. Spiegel A, Stein P, Patel M, et al. A report of gastric fundic gland polyps. Gastroenterol Hepatol. 2010;6:45-48. (Full text)
Clinical Tips for Using Antibiotics and Corticosteroids in IBD
January 5th 2013The goals of therapy for patients with inflammatory bowel disorder include inducing and maintaining a steroid-free remission, preventing and treating the complications of the disease, minimizing treatment toxicity, achieving mucosal healing, and enhancing quality of life.