A 52-year-old woman presents with severe intra-oral ulceration and oral pain. She reports that several years earlier, she had been taking cephalexin when severe intra-oral ulceration developed.
A 52-year-old woman presents with severe intraoral ulceration and oral pain.
She reports that several years earlier, she had been taking cephalexin when severe intraoral ulceration developed. The antibiotic was discontinued and a different agent was prescribed; the lesions re-emerged within 1 week. A year later the patient began therapy with topiramate for obsessive-compulsive disorder (OCD); less severe but generalized oral lesions subsequently developed over the intraoral mucosa and lips.
She now presents with the lesions shown here, a single dermal lesion and oral pain without apparent trigger.
The patient is overweight and hypertensive. She has sleep apnea that is managed via continuous positive airway pressure. She has undergone gastric bypass surgery 3 times, with postsurgical complications at least once. Her medications include metoprolol (for hypertension), gabapentin (for OCD), fluoxetine (for depression), and aspirin.
She has a history of OCD manifested as picking behavior; and stress rated at 4 on a 0 to 10 scale. The patient receives psychotherapy once a week and has been married for 12 years. She reports a “good” marriage.

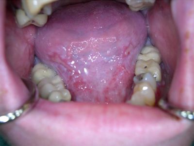
Figure 1-Note the extensive lesions present on the ventral tongue.
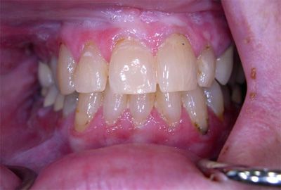
Oral findings. Multiple shallow ulcerations are localized to the inferior tongue and bilateral posterior buccal mucosa (Figures 1-3). The lesions are large, irregularly shaped, gray-yellow, and covered with a subtle pseudomembrane. They extend from the buccal mucosa onto the attached gingival tissue with erosion of the intradental papilla between posterior teeth. There is mild crusting of the upper and lower lips.

Figure 2-The observed lesions are localized to the buccal mucosa and attached gingiva.
Skin findings. A 1-cm relatively round shallow ulcer with erythematous halo and a cyanotic, erosive center is present on the patient’s lateral calf (Figure 3).

Figure 3 - This large oval lesion suggestive of EM with an
erosion and erythematous halo is evident on the lateral calf.
Laboratory tests. The antinuclear antibody titer was normal. The white blood cell count was slightly high at 11,900/µL, with hypochromasia 2+ and an absolute neutrophil count of 9290/µL. The hemoglobin is slightly low at 11.1%; the hematocrit is 35.9%; and mean corpuscular hemoglobin concentration is 31 fL.
Tissue for biopsy is taken from the left buccal mandibular mucosa and the right buccal vestibule.
Histologic examination. Analysis reveals ulceration of the surface epithelium and evidence of fibrin and neutrophils. The epithelium is covered by parakeratin and is proliferative, with confluent rete pegs. Cells and hyperchromatic nuclei are present in the deeper portion of the spinous layer and are interpreted to be reactive to the underlying inflammation and the ulceration. There is evidence of loss of cohesion in these areas. The underlying fibrous connective tissue is infiltrated by neutrophils, lymphocytes, and plasma cells.
Immunofluorescence antibodies stain is negative for IgG, IgA, and IgM. It is also negative with antibodies to C3 and C1q. A strong positive reaction is noted with antibody to fibrinogen and is present along the basement membrane that separates the surface epithelium from the underlying fibrous connective tissue. The fibrinogen is also present around small blood vessels in the superficial lamina propria. The H&E stained frozen section shows a piece of mucosa covered by epithelium with underlying fibrous connective tissue. The epithelium is of variable thickness and shows evidence of focal basal cell degeneration. The underlying fibrous connective tissue is infiltrated by many plasma cells, eosinophils, and lymphocytes.
The differential diagnosis includes:
• Erythema multiforme
• Pemphigus vulgaris
• Lymphoproliferative disease
• Wegener granulomatosis
• Vegetative erosive lichen planus
• Lichenoid lichen planus
• Comorbid anemia
Intervention. Given the nonspecific biopsy findings (except for the observed “lichenoid reaction”), 5 days of therapy with a methylprednisolone dose pack was initiated without apparent effect on the lesions. A trial of high-dose corticosteroid (60 mg) was then initiated with initial taper to 20 mg; 20 days of therapy at this dosage resulted in reduction in lesion size but continued pathology. Continuation of the corticosteroid at 20 mg resulted in significant improvement over several weeks. An antifungal medication was added to the corticosteroid. A trial of azathioprine (50 mg) was initiated after the corticosteroid was discontinued; a topical corticosteroid and an antifungal medication were also added. With this regimen, the intraoral tissue remained minimally involved and stable.
Diagnosis. The final diagnosis was probable erythema multiforme. A lichenoid drug reaction is also a possible consideration.
ERYTHEMA MULTIFORME
EM is a mucocutaneous inflammatory disease that results in generalized mucosal tissue breakdown. This breakdown is caused by immune complexes that form and leak out of the connective tissue vessel walls; the result is leukocytic infiltration that includes neutrophils and macrophages. These white blood cells, in turn, release lytic enzymes and free radical species that cause breakdown of the epithelium and tissue necrosis.1
The clinical oral presentation consists of bullous formation, ulceration, and diffuse desquamation of mucosa. EM has been associated with certain drugs (eg, hypoglycemic sulfonylureas, sulfa antibiotics, carbamazepine, levofloxacin, antitubercular drugs, NSAIDs, barbiturates, phenylbutazone); with certain viruses (eg, herpes simplex virus [HSV], cytomegalovirus, Epstein Barr virus) and Mycoplasma pneumoniae; and even with seasonal influenza vaccine coupled with flucloxacillin.2 In most cases, however, a definite underlying cause is not readily identified. Thus, the diagnosis is based on the history, clinical presentation, and absence of histology/pathology suggestive of other conditions.
Different forms of the condition have been defined:
• A mild form (EM minor) that involves oral ulceration and skin lesions of variable type, including bullous manifestations or lesions with a “bulls-eye or target” appearance
• An intermediate form (EM major)
• A severe form that can involve desquamative blisters of the skin, oral mucosa, genitalia, and conjunctiva (Stevens-Johnson syndrome or toxic epidermal necrolysis)
The incidence of EM in adults and children is not clear but at least one study calculated an overall risk of Stevens-Johnson syndrome in the general population of 0.93 per million.
Minor EM is self-limited but may last for 14 to 21 days. The moderate form may persist for months.
The histopathologic features associated with EM are nonspecific but involve inflammatory changes. The submucosa demonstrates a polymorphic infiltrate with lymphocytes, mast cell degranulation, and neutrophils.
The management of EM depends on disease severity. Minor EM requires only supportive care because the condition is typically self-limited. If an offending medication is identified, it must be avoided in the future so as not to induce more severe pathology. Self-care should include the maintenance of good oral hygiene if possible, a bland but balanced diet when the condition flares, and a diet rich in vitamins C and A. Oral antihistamines, analgesics, and topical corticosteroids can also be beneficial; the latter includes fluocinonide ointment in orabase or clobetasol.
In patients who experience EM after HSV infection that occurs 5 or more times a year, antiviral prophylaxis can reduce EM recurrences. The antiviral may have to be continued for a prolonged period if effective.
Prophylactic antibiotics are not recommended.
Occassionally, systemic prednisone delivered in a tapered schedule can be employed if lesions do not respond to topical measures.
Moderate EM may necessitate a higher starting dose with a longer taper period. Azathioprine (50 mg) may also be added to lower the dose of corticosteroid if it is needed for a prolonged period.3
With severe disease (which is life-threatening), management is complex and best delivered in the hospital. Prednisone (60 mg total dose delivered every day) coupled with daily azathioprine (150 mg) or CellCept (3 g every day) may be prescribed. However, the use of a corticosteroid in this setting remains controversial because its use can confound the management of secondary infection when there is severe dermal sloughing. Both the physician and dentist should manage the dermal/medical/oral complications associated with prolonged EM involvement.4
References:
1. Millarad HD, Mason DK, eds. The Second World Workshop on Oral Medicine. 1995. University of Michigan, Continuing Dental Education. Ann Arbor, Michigan.
2. Fleming JD, Fogo AJ, Creamer DJ. Stevens-Johnson syndrome triggered by seasonal influenza vaccination and flucloxacillin: a pathogenetic hypothesis. Eur J Dermatol. 2011; 21:434-435.
3. Schram ME. Off-label use of azathioprine in dermatology: a systematic review. Arch Dermatol. 2011; 147:474-488.
4. Worswick S, Cotliar J. Stevens-Johnson syndrome and toxic epidermal necrolysis: a review of treatment options. Dermatol Ther. 2011;24:207-218.
For More Information:
• Krippaehne JA, Montgomery MT. Erythema multiforme: a literature review and case report. Special Care Dent. 1992;12:125-130.
• Shabahang L. Characteristics of adult outpatients with erythema multiforme. Pak J Biol Sci. 2010;13:1106-1109.
• Silverman S, Eversole L R, Truelove E, Eds. Essentials of Oral Medicine. BC Decker Inc. Hamilton, London, 2001.
• Watanabe R. Critical factors differentiating erythema multiforme majus from Stevens-Johnson syndrome (SJS)/toxic epidermal necrolysis (TEN). Eur J Dermatol. 2011. Aug 26. (Epub ahead of print). http://www.ncbi.nlm.nih.gov/pubmed/21873140.
• Wolf R, Lipozencic J. Shape and configuration of skin lesions: targetoid lesions. Clin Dermatol. 2011; 29:504-508.