An 88-year-old woman was brought to the emergency department after she choked on a piece of meat. She had dysphagia of many years’ duration and progressive weight loss over the past 5 years.
An 88-year-old woman was brought to the emergency department after she choked on a piece of meat. She had dysphagia of many years’ duration and progressive weight loss over the past 5 years.
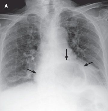
Physical findings were unremarkable. Radiographs of the chest and abdomen showed a gastric bubble in the left lower thoracic cavity (A). A barium swallow showed the stomach within the thorax (B).
An organoaxial volvulus is a type of gastric volvulus-a rare but serious disorder-in which the stomach rotates superiorly along its long axis. The rotation must be 180 degrees or greater and is usually associated with diaphragmatic defects. The rotation causes the greater curvature of the stomach to be superior to the lesser curvature; as a result, the stomach appears upside down. About 60% of cases are organoaxial and 30% are mesenteroaxial, in which the stomach rotates along its short axis. This less common form is usually associated with ligamentous laxity. The remaining 10% of cases are a mixed type.1 The disorder can be further classified as subdiaphragmatic, or primary (33% of cases), in which the cause is usually congenital, or as supradiaphragmatic, or secondary (67% of cases), which is generally caused by trauma or associated with diaphragmatic defects.2

Typical symptoms of a long-term gastric volvulus include dysphagia and intermittent abdominal pain that is often brought on by large meals. Traumatic presentations represent a surgical emergency and often include severe epigastric pain, inability to vomit, and difficult nasogastric tube insertion-known as Borchardt triad.

An undetected gastric volvulus can develop into a closed-loop obstruction that may lead to incarceration, strangulation, ischemia, or gastric perforation. Mortality varies depending on the cause and severity of the disorder, but it is reportedly about 42% to 56% in acute cases and 10% to 13% in chronic cases.3
This patient underwent corrective Nissen fundoplication, hiatal hernia repair, and gastropexy. She recovered without complication.
REFERENCES:
1. Godshall D, Mossallam U, Rosenbaum R. Gastric volvulus: case report and review of the literature. J Emerg Med. 1999;17:837-840.
2. Cozart JC, Clouse RE. Gastric volvulus as a cause of intermittent dysphasia. Dig Dis Sci. 1998;43:1057-1060.
3. Green J, Stein M. Gastric volvulus. EMedicine.http://www.emedicine.com/radio/topic296.htm. Accessed March 16, 2011.