Polycystic ovary syndrome, “dermatoses of pregnancy,” systemic sclerosis, subacute cutaneous lupus erythematosus, gallbladder agenesis, sarcoidosis-a close look at medical problems seen frequently in women.

Case 1:
Polycystic ovary syndrome (PCOS) is the most common endocrinopathy among reproductive-aged women. Like women with PCOS, affected adolescents often present with irregular menses, hirsutism, and acne. Despite widespread agreement that the metabolic derangements of PCOS arise during puberty, the diagnosis is made more often in adults than in adolescents.
Adolescents with PCOS are at risk for dyslipidemia, hypertension, type 2 diabetes mellitus, infertility as adults, and coronary artery disease in adulthood. Prompt diagnosis is essential to optimize therapy, establish healthy diet and exercise, and prevent potential health consequences.
Obesity is not a cause of PCOS, but it exacerbates many of the symptoms. Acanthosis nigricans may be seen in adolescents with PCOS, particularly those who are obese. The velvety hyperpigmentation and thickening of the skin is often localized to the intertriginous areas such as the back of the neck, as seen here in a 13-year-old obese girl with metabolic syndrome.
Article by Samantha Butts, MD. Photo courtesy of Bhagwan Das Bang, MD.
NEXT CASE »
For the discussion, click here.

Case 2:
Every mother-to-be undergoes radical psychological and physiological changes during pregnancy that may trigger various skin manifestations, or “dermatoses of pregnancy.” They may be grouped in 4 distinct categories: (1) common, physiologic skin changes that can accompany pregnancy (eg, striae gravidarum); (2) changes in preexisting skin diseases with onset not related to a previous pregnancy (eg, atopic dermatitis); (3) dermatoses specific to pregnancy (eg, pemphigoid gestationis); and (4) disorders related to pregnancy yet considered nonspecific to gestation (eg, impetigo herpetiformis).
This photo shows impetigo herpetiformis in the postpartum period: erythematous plaques with polycyclic edges covered with widespread, tiny, green-yellow pustules on the abdomen.
This is a rare pustular dermatosis related to pregnancy. Possible triggering factors include high levels of progesterone during the last trimester of pregnancy and low levels of calcium. The histopathology resembles that of pustular psoriasis.
Article and photo provided by Maria-Magdalena Roth, MD, PhD.
NEXT CASE »
For the discussion, click here.

Case 3:
The cyanotic phase of Raynaud phenomenon is evident in color changes in several fingertips in a patient with systemic sclerosis (SSc), which affects 3 to 4 times as many women as men. Swelling, tightness, and thickness of the skin are the hallmarks of SSc.
In some cases, as in diffuse SSc, skin involvement is the major cause of morbidity, but the degree of morbidity and mortality in SSc often is related more to coexisting internal involvements-heart, lung, kidney, GI, and peripheral vascular.
Assessing skin thickening and determining how long the patient has had SSc are major points in disease management. Because major organ involvements usually begin and progress most rapidly early in the disease, they should be detected early so that treatment can be instituted.
Many patients with SSc present at their initial visit terrified by misinformation acquired through friends, relatives, and the Internet. To optimize patient care, the physician should spend extra time discussing the disease with patients and educating them so that they understand it and can become active participants in their evaluation and treatment.
Article and photo provided by Raz Khavari, MD, Dinesh Khanna, MD, and Philip Clements, MD, MPH
NEXT CASE »
For the discussion, click here.

Case 4:
This mildly pruritic, nontender rash erupted on the upper body of a 58-year-old woman. She had not started to take any new medications, and she was not taking photosensitizing drugs. She had Sjögren syndrome; the rest of her history was noncontributory.
The diagnosis was subacute cutaneous lupus erythematosus (SCLE), which typically affects white women aged 30 to 40 years.
SCLE presents as nonindurated, nonscarring, erythematous plaques with or without a fine scale that may progress into a diffuse, widespread, papulosquamous or annular lesion with central hypopigmentation or telangiectasia. It characteristically appears on sun-exposed areas but spares the knuckles and the face.
SCLE is associated with other rheumatological diseases, such as rheumatoid arthritis and Sjögren syndrome, and certain medications, such as hydrochlorothiazide. It may be exacerbated by photosensitizing drugs. The differential diagnosis includes psoriasis, drug exanthema, Norwegian scabies, and paraneoplastic syndromes.
NEXT CASE »
For the discussion, click here.

Case 5:
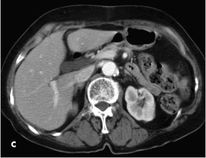
A 60-year-old woman with a 3-month history of worsening epigastric pain was referred for elective cholecystectomy after ultrasonography showed findings consistent with chronic cholecystitis. She had postprandial abdominal discomfort since age 4 years and had occasional nausea and vomiting but denied jaundice, change in bowel habits, or urinary symptoms.
This abdominal CT scan showed a dilated common hepatic duct confluence; the gallbladder was not visualized. Surgery revealed a large common bile duct at the level of the confluence between the right and left ducts at the hepatic hilum. A diagnosis of type II sphincter of Oddi dysfunction was entertained and an endoscopic sphincterotomy was performed.
Congenital agenesis of the gallbladder is a rare anomaly that results from failed development of the caudal portion of the original hepatic sacculation or lack of proper vacuolization of the gallbladder primordium. A female to male ratio of about 2 or 3 to 1 has been reported.
Affected adults usually are healthy and have no other congenital anomalies. However, common bile duct stones, carcinoma of the biliary tract, and primary sclerosing cholangitis have been associated with gallbladder agenesis. A familial or inherited trait has been described.
Case and image contributed by Raul Rivera, MD and Hays Arnold, MD
NEXT CASE »
For the discussion, click here.

Case 6:
A 33-year-old woman had frontotemporal headaches and neck pain without stiffness and, later, a worsening headache and nausea, vomiting, ankle pain with swelling, and fevers. A new rash appeared as erythematous, tender patches on the anterior aspect of her lower extremities. Then she returned with new-onset diffuse chest pain, abdominal pain, and worsening headache.
Repeated CT scan of the chest was significant for pulmonary nodules. Biopsy of lung tissue was significant for granulomatous disease, and a diagnosis of Löfgren syndrome was made.
Löfgren syndrome is a form of acute sarcoidosis characterized by a triad of symptoms: hilar adenopathy, erythema nodosum, and arthralgias. Sarcoidosis most often affects women aged 20 to 50 years; 10% of patients present with Löfgren syndrome.
High-grade fevers, as seen in this patient, have been reported only rarely. Ophthalmologic involvement, also seen in this patient, is a common finding.
Case and photo provided by Mohenish Singh, DO, Brandon Hill, MD, and James Mcdonald, MD
FDA Approves Guselkumab for Pediatric Plaque Psoriasis and Active Psoriatic Arthritis
September 30th 2025The FDA has approved guselkumab for children aged 6 years and older with moderate to severe plaque psoriasis or active psoriatic arthritis, making it the first IL-23 inhibitor authorized for pediatric use.