For 2 days, a 54-year-old woman had an asymptomatic red patch on the left anterior distal lower extremity. In the center of the lesion was an erosion where a flaccid blister had broken. She had experienced 2 previous episodes in which an identical lesion had appeared in the same location. These episodes had been preceded by a urinary tract infection for which she received trimethoprim/sulfamethoxazole.

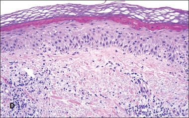
For 2 days, a 54-year-old woman had an asymptomatic red patch on the left anterior distal lower extremity (A). In the center of the lesion was an erosion where a flaccid blister had broken (B). She had experienced 2 previous episodes in which an identical lesion had appeared in the same location. These episodes had been preceded by a urinary tract infection for which she received trimethoprim/sulfamethoxazole. The use of an antibiotic from a different class did not result in an eruption. Histological examination of a biopsy specimen revealed a deep and superficial perivascular infiltrate of lymphocytes and eosinophils (C and D).

Fixed drug eruptions are characterized by well-circumscribed, sharply demarcated erythematous patches or edematous plaques that appear after exposure to medications or foods. Lesions can resemble erythema multiforme, Stevens-Johnson syndrome, or arthropod assault. On the genitals they can resemble herpes simplex or lichen planus.
Necrotic keratinocytes may be present at all levels of the epidermis. Pigment incontinence is often present, although this was not seen on this patient's biopsy.

The most common areas of involvement are the genitals, trunk, lips, and hands.1 Lesions usually appear within hours after exposure to the causative agent. Blisters may result in erosions. Once the causative drug is stopped, the lesions usually resolve, with postinflammatory hyperpigmentation evident. Drugs commonly responsible include NSAIDs, tetracyclines, sulfonamides, barbiturates, and antifungals. The true incidence of a particular drug that causes fixed drug eruptions depends on the anatomical area and frequency of its use.2 Food additives may also be implicated.3

Treatment consists of stopping the offending drug and advising the patient to avoid medications in this class. Symptomatic cases can be managed with short-term topical or oral corticosteroids. When the suspected drug is necessary for the patient's care, a cautious rechallenge can be undertaken.
REFERENCES:
1.
Ozkaya-Bayazit E. Specific site involvement in fixed drug eruption.
J Am Acad Dermatol
. 2003;49:1003-1007.
2.
Shiohara T, Mizukawa Y. Fixed drug eruption: a disease mediated by self-inflicted responses of intraepidermal T cells.
Eur J Dermatol
. 2007;17:201-208.
3.
Asero R. Fixed drug eruptions caused by tonic water.
J Allergy Clin Immunol
. 2003;111:198-199.
No Rx Required for COVID-19 Vaccination But ACIP Calls for Better Informed Consent Process
September 22nd 2025The ACIP on September 19 narrowly voted against requiring a prescription to get the shot but urged more detailed discussion of vaccine risks during shared decision making conversations.