Fitz-Hugh–Curtis syndrome is an infectious perihepatits that accounts for approximately 5% of pelvic inflammatory disease.
Figure 1. CT chest (click image to enlarge)

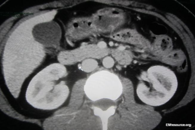
Figure 2. CT enlargement.

A 35-year-old woman with no prior medical history presents to her local emergency department accompanied by her new boyfriend for right sided abdominal and chest pain. The pain is located anteriorly in the right lower chest area and radiates to the right upper abdomen. It has been present for the past 4 days and seems to be gradually worsening. She notes that the pain is much more severe when she laughs or takes a deep breath. She denies fever, cough, dyspnea, or leg swelling. She also denies diarrhea, vomiting, pelvic pain, dysuria, or vaginal discharge, and has no other complaints.
On physical examination her vital signs are normal and her skin is warm and dry without rash. Head and neck examinations are normal without icterus or JVD. Lungs are clear without rales but she is splinting with obvious discomfort when she takes a full breath. There is mild RUQ tenderness but no rebound or CVA tenderness. The legs show no swelling or chords.
Results of laboratory tests, including a CBC, UA, chemistry, pregnancy test, and LFTs are all completely normal, but there is a markedly elevated D-dimer. A chest x-ray is normal. VQ (ventilation-perfusion) scan is available and would normally be the initial test of choice to rule out pulmonary embolism in a woman of this age because of its lower radiation exposure. However, in this case a CT chest is ordered because it will also image the organs of the upper abdomen.
The CT scan is read by the radiologist as negative for pulmonary embolism (PE) or any other pathology. A slice of the CT is shown in the Figure 1 (click image to enalrge) and demonstrates a subtle diagnostic finding that was missed by the radiologist.
What is the finding? What is the diagnosis? ANSWER: The CT scan shows subtle increased flow to the liver capsule (see zoomed-in image in Figure 2). The diagnosis is Fitz-Hugh-Curtis syndrome.
Discussion
Fitz-Hugh-Curtis syndrome (FHCS) is an infectious perihepatitis that classically presents with pleuritic RUQ abdominal pain associated with pelvic pain and/or abnormal vaginal discharge. It accounts for about 5% of cases of pelvic inflammatory disease. It can, however, present with only upper abdominal findings and no pelvic or vaginal signs or symptoms, especially when it is caused by chlamydia. This is analogous to patients with pyelonephritis who do not preseent with concomitant dysuria or frequency: the infecting pathogen may cause “upper tract” symptoms without “lower tract” symptoms. FHCS should therefore be considered in all at-risk females with RUQ pain or right lower rib pain, even in the absence of pelvic symptoms, when there is no other apparent diagnosis, especially when the pain is pleuritic.
The physical exam may or may not reveal RUQ and/or cervical motion tenderness and/or vaginal discharge. The rest of the exam will usually be unremarkable.
Routine blood work including the CBC and even LFTs are usually completely normal. Inflammatory markers such as the erythrocyte sedimentation rate (ESR) and C-reactive protein (CRP) are often elevated. The D-dimer is also elevated in inflammatory conditions and should be checked when pain is pleuritic or accompanied by dyspnea as pulmonary embolism is often the main condition of the differential diagnosis of FHCS. Multiple imaging studies are often considered or ordered to rule out other conditions. The following tests will usually be read as normal if ordered: abdominal ultrasound, pelvic ultrasound, chest x-ray, CT chest, and CT abdomen. If the D-dimer is elevated a CT angiogram chest can rule out PE and may show subtle contrast enhancement around the liver, but beware you may have to request extra cuts to get that low and should talk to your radiologist as she/he will often not note this subtle finding unless they are looking for it.
When suspicion exists for FHCS, STD testing and empiric treatment should be initiated. See the Table below for more details.
This patient admitted to unprotected intercourse in the past 3 weeks with more than one new partner. Her chlamydia test came back positive.
Table.
Rocephin 1 gram IV + Zithromax 1 gram PO then doxycyline x 1-2 weeks.
Consult OB/GYN.