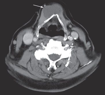
For several years, an asymptomatic, firm, nontender mass had been growing on the neck of a 54-year-old-man, slightly left of midline at the level of the hyoid bone. Thyroid function tests were normal. What does it indicate?
For several years, an asymptomatic, firm, nontender mass had been growing on the neck of a 54-year-old-man, slightly left of midline at the level of the hyoid bone. The mass was mobile on protrusion of the tongue and during swallowing. Thyroid function tests were normal. An axial thoracic CT scan was obtained.

What does it indicate?