A 46-year-old man with history of diabetes, hypertension, and renal failure presented with high fever, dyspnea on exertion, and pleuritic chest pain. He also complained of generalized lethargy and anorexia. Two weeks before admission, emergency hemodialysis had been initiated to manage worsening nephropathy; a dialysis catheter was placed in the right femoral vein.
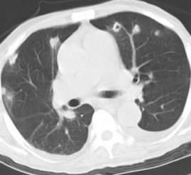
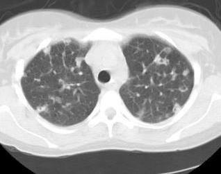
The patient was listless, diaphoretic, and appeared to be using accessory muscles of respiration. Temperature was 39°C (102.2°F); pulse, 120 beats/min; and blood pressure, 106/50 mm Hg. Examination of the chest revealed decreased air entry at bases. Heart sounds were normal without murmurs. Findings from the abdominal and neurologic examinations were normal, and there was no evidence of leg swelling. Hemoglobin concentration was 14.4 g/L, and white blood cell count was 19.3 x 109/L (polymorphonuclear leukocytes 77%, band forms 16%, eosinophils 4%, and monocytes 3%). Figures 1 and 2 show CT scans of the chest. Results of a lumbar puncture and a CT scan of the brain were unremarkable. Transesophageal echocardiography (TEE) found no cardiac vegetations. A culture taken from the catheter tip was positive for methicillin-sensitive Staphylococcusaureus.

Figure 1.

Figure 2.
What’s Your Diagnosis? Answer on Next Page…
Diagnosis: High-grade catheter-related Staphylococcus septicemia with septic pulmonary emboli.
As seen in the Figures, CT scan of the chest found multiple subpleural peripheral nodules. Some lesions revealed cavitation, a finding consistent with septic pulmonary emboli (PE), given the confounding clinical findings of this patient.
The dialysis catheter was removed from the right femoral vein. Antimicrobial therapy was initiated with vancomycin and gentamicin, then changed to nafcillin when results of the bacterial culture were reported 2 days after admission. The patient’s clinical status was improved by day 4 and repeated blood cultures were negative on day 6. He completed a 6-week course of antimicrobial therapy. A follow-up CT scan of the chest 8 weeks later showed complete resolution of the nodular infiltrates.
Discussion
The differential diagnosis of multiple pulmonary cavitary lesions includes both infectious and noninfectious etiologies.1 Neoplasms, including primary and metastatic lesions; rheumatoid arthritis; pulmonary infarction; and Wegner granulomatosis are causes of noninfectious lesions. Most cases of septic PE are the result of right-sided endocarditis, septic thrombophlebitis, and deep tissue infections such as osteomyelitis and septic arthritis.2 The incidence of septic lung infections related to indwelling or implanted devices, such as the intravascular catheter in this case, has increased along with widespread use of these modalities. Bacteria colonize the hub and lumen of the catheter before it enters the intravascular space and are ultimately deposited into the lung. The organism most frequently associated with catheter-related septic PE is S aureus.
Vascular access via the subclavain vein is generally preferred for placement of dialysis catheters. In patients with poor upper extremity access, however, the femoral vein may be used for permanent tunneled hemodialysis. The infection rate for femoral catheters is presumed to be higher than that for catheters placed via subclavian access. In one study, the infections requiring femoral catheter removal occurred at a rate of 2.4 per 1000 catheter days.3
Placement of an intravascular catheter is also associated with phlebitis and septic thrombophlebitis. Septic PE are increasingly being described in pediatric patients infected with community-acquired methicillin-resistant S aureus and are frequently arising from primary deep tissue infections, such as osteomyelitis and septic arthritis.4
Lemierre syndrome, described as a retropharyngeal abscess with jugular venous thrombophlebitis, may serve as the origin of Fusobacterium infection and lead to pulmonary septic emboli. Infection with other bacteria, such as oral anaerobes, Legionella species, Nocardia species, Mycobacterium tuberculosis, Streptococcus pneumoniae serotype III, Pseudomonas aeruginosa, Actinomyces species, and enteric aerobic gram-negative bacilli, may present as cavitary lesions in primary pulmonary infections. Furthermore, fungal cavitary lesions are seen with Histoplasma capsulatum, Coccidioides immitis, and Blastomyces species.
Characteristic signs and symptoms reflect the multifocal nature of the infection. Fever, accompanied by chills or rigors, pleuritic chest pain, dyspnea, and productive cough with possible hemoptysis signal small-vessel embolization in the lungs. Fibrin, purulent debris, and bacteria lodge in the vasculature, which causes obstruction and promotes local infection. Cavitary lesions that consist of necrotic lung tissue, inflammation products, and bacteria may develop. Pulmonary abscess and pleural effusions may also occur. Prompt diagnosis and antibiotic treatment are essential to avoid septic shock.
The major findings on chest CT scan are multiple pulmonary peripheral nodules of varying size with evidence of cavitation.5 Mediastinal lymphadenopathy and/or peripheral wedge-shaped densities along the pleura and hilar are also possible.6 TEE is essential to rule out right-sided endocarditis as a source.
Early diagnosis, appropriate antibiotic therapy, and control of the source of infection will typically resolve illness caused by cavitary lesions in the lung. Intravenous catheters or other indwelling appliances should be suspected as a source of infection and removed as soon as is medically prudent.
References
1. Lee KH, Lee JS, Lynch DA, et al. The radiologic differential diagnosis of diffuse lung diseases characterized by multiple cysts or cavities. J Comput Assist Tomogr. 2002;26:5-12.
2. Cook RJ, Ashton RW, Aughenbaugh GL, Ryu JH. Septic pulmonary embolism: presenting features and clinical course of 14 patients. Chest. 2005;128:162-166.
3. Zaleski GX, Funaki B, Lorenz JM, et al. Experience with tunneled femoral hemodialysis catheters. AJR. 1999;172:493-496.
4. Wong KS, Lin TY, Huang YC, et al. Clinical and radiographic spectrum of septic pulmonary embolism. Arch Dis Child. 2002;87:312-315.
5. Kuhlman JE, Fishman EK, Teigen C. Pulmonary septic emboli: diagnosis with CT. Radiology. 1990;174:211-213.
6. Iwasaki Y, Nagata K, Nakanishi M, et al. Spiral CT findings in septic pulmonary emboli. Eur J Radiol. 2001;37:190-194.