A 4-year-old girl is seen in the ED for low-grade fevers x2 weeks, headaches, neck stiffness. Lumbar puncture is recommended. Do you agree?
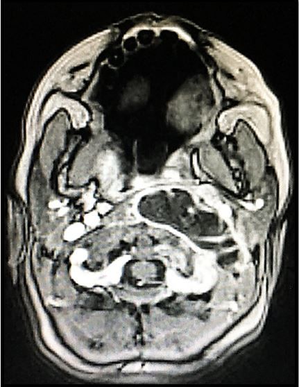
Figure 1. (Please click to enlarge)

Figure 2. (Please click to enlarge)

Patient history
A 4-year-old girl with no significant medical history is sent to the emergency department (ED) by her pediatrician for a lumbar puncture (LP) based on the 2-week presence of low-grade fevers up to 99.6°F, intermittent headaches, photophobia, and neck stiffness. The neck stiffness is a bit unusual for meningitis becuase it entails an inability to turn her neck to the right or lift her head upward but no difficulty in bending her neck forward. Results of a head CT scan and blood work done the week before at another ED were reportedly all normal. There has been no cough, sore throat, runny nose, dysuria, vomiting, or other complaints.
Examination
Vital signs were normal. Physical examination was normal except for limited neck mobility turning to the right and extending, but not flexing. Jolt sign was negative. There was no neck tenderness or swelling, or change in voice.
Initial concerns
Testing
Questions
1. What does the image show?
2. What should you do next?
Please click here for answers and discussion.
Answers
1. The case image shows: A retropharyngeal abscess, mostly left of midline.
2. What you should do next is: Admit for IV antibiotics and consult ENT.
For more on retropharyngeal abscess, see sample page in Figure 2, at right; click image to enlarge, then review highlighted area.
Discussion
Retropharyngeal abscess (RPA) typically presents with fever, sore throat, and a stiff neck. Headache and/or neck pain may also be present and may be worse than the sore throat. Rarely, a sore throat is absent.
Physical examination may show neck stiffness, but unlike with meningitis, stiffness often occurs with rotation or extension more commonly than with flexion. In severe cases, stridor from airway compromise may occur as may concerning vital signs related to sepsis.
The diagnosis is typically made with a lateral neck x-ray. CT scan with contrast is more sensitive and can also be useful for surgical consultants in tailoring treatment. Treatment should be initiated with IV antibiotics that cover staph, strep, and anaerobes. Surgery is indicated for severe cases or for those that do not respond to IV antibiotics.
Complications of RPA are rare but may include airway obstruction, mediastinitis, epidural abscess, aspiration pneumonia, jugular vein thrombosis, and carotid erosion.
For more details, click on sample page in Figure 2 above; click to enlarge, then review highlighted area.