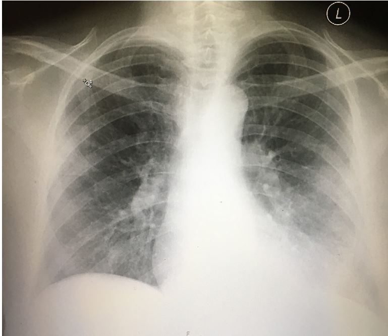
Patient's vital signs and results of physical examination are normal; results of a previous lumbar puncture also were normal. What does the chest x-ray reveal?
History of Present Illness
A 52-year-old woman presents to the emergency department (ED) after experiencing 1 week of fever as high as 102.5°F and 3 days of dry cough associated with breathlessness. Four days ago, she had a bad headache but that has now resolved. At that time, she had gone to another ED and had a lumbar puncture results of which were normal.
She denies drug use but did recently travel to Australia for vacation. She denies any significant past medical history. She denies any chest pain or other complaints.
Vital Signs & Physical Examination
Vital signs are normal except for a temperature of 99.5°F. Physical exam is normal.
Initial Differential Diagnosis
Initial Diagnostic Testing
CBC and BMP are normal except for a WCB of 13 with left shift but no bands and a glucose of 150 mg/dL

What does the case image show? The image shows bibasilar infiltrates that are worse on the left side.
What should you do next? Ask about exposure to livestock while in Australia and consider Q fever. Treat with appropriate antibiotics.
Discussion
Q-fever, which is short for query fever is a pulmonary infection caused by Coxiella burnetti, which is typically transmitted by sheep or other livestock. Person-to-person transmission is possible but rare. Symptoms typically include fever, headache, and dry cough. Gastrointestinal symptoms occasionally also occur, and the spleen and/or liver may become enlarged. The incubation period averages about 21 days. .
Diagnosis of Q fever is made based on results of serology for antibodies or by PCR. Preferred treatment is with doxycycline for 14 days, which has recently become the treatment of choice for most cases of uncomplicated pneumonia in most locations as pneumococcal resistance to azithromycin has increased to concerning levels.
Case conclusion. The patient was admitted and treatment was started with Rocephin and doxycycline. Q-fever was confirmed.
Q-fever fromThe Emergency Medicine 1-Minute Consult Pocketbook
