Here’s a quiz about enterovirus, PFO, diastematomyelia, the depression/asthma connection, and an HIV complication. Can you answer the 5 questions correctly?
Question 1:
Answer and new question on next page »
The correct answer is a. True.
For a discussion of the case, click here.
Question 2:

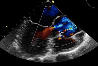
A 42-year-old man presented to the ED after multiple episodes of difficulty in speaking. He was unable to formulate his speech but was aware of what he wanted to say. Three years earlier, the patient had a deep venous thrombosis that was treated with anticoagulation. The transesophageal echocardiogram indicated patent foramen ovale (PFO).
Answer and new question on next page »
The correct answer is a. PFO is considered a primary cause of stroke.
For a discussion of the case, click here.
Question 3:

A 39-year-old homosexual man has moderate perianal itching and fairly persistent anal discharge. He is HIV-positive but reliably takes his antiretroviral medications. Atypical lymphogranuloma venereum was diagnosed.
Answer and new question on next page »
The correct answer is c. Chlamydia trachomatis serovar L2b.
For a discussion of the case, click here.
Question 4:
Answer and new question on next page »
The correct answer is b. False.
For a discussion of the case, click here.
Question 5:

An MRI scan without contrast of the lumbar spine was obtained in in a 42-year-old woman with a “life-long” history of mild to moderate low back pain. It revealed a sagittal division of the spinal cord into 2 halves at the L2-3 level separated by a cartilaginous septum. Diastematomyelia was the diagnosis.
Answer on next page »
The correct answer is b. Diastematomyelia results in complete division of the spinal cord with each half in possession of its own dural sac and nerve roots. For a discussion of the case, click here.