A 77-year-old woman with hypertension, diabetes mellitus with neuropathy and nephropathy, coronary artery disease, and previous stroke with residual right hemiparesis was hospitalized because of abdominal pain, nausea, and vomiting of sudden onset. She also reported subjective fever, dysuria, and foul-smelling urine.
A 77-year-old woman with hypertension, diabetes mellitus with neuropathy and nephropathy, coronary artery disease, and previous stroke with residual right hemiparesis was hospitalized because of abdominal pain, nausea, and vomiting of sudden onset. She also reported subjective fever, dysuria, and foul-smelling urine.
The patient was afebrile; blood pressure, 170/90 mm Hg; and heart rate, 104 beats per minute. The hypogastric region was tender with no rebound. Other physical findings were normal.
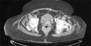
White blood cell count was 9820/μL; blood glucose level, 286 mg/dL; and glycosylated hemoglobin, 7.1%. Urinalysis findings were consistent with urinary tract infection. A CT scan of the abdomen revealed air within the wall of the urinary bladder, compatible with emphysematous cystitis. Because of the patient’s age and comorbidities, she was empirically treated with piperacillin/tazobactam. Blood cultures were negative. Urine culture later grew Escherichia coli.

Emphysematous cystitis is a commonly missed, relatively unknown disease. Although the pathogenesis of the gas formation is still unclear, metabolism of glucose and albumin in the urine by gas-forming organisms and impaired host response with poor vascular perfusion are 2 postulated theories.1-4E coli and Klebsiella pneumoniae are commonly isolated; however, other organisms, such as Clostridium,Pseudomonas, Proteus, Enterococcus, Aspergillus, and Candida, have been reported.2 Risk factors include female gender, diabetes mellitus, age older than 60 years, debilitated states, neurogenic bladder, recurrent urinary tract infection, urinary stasis secondary to bladder outlet obstruction, alcoholism, and malnutrition.1
When intraluminal gas is present, other entities, such as a recent urinary tract instrumentation, trauma, and vesicocolic/vesicovaginal fistulas, should also be considered.2,4,5 Clinical presentations range from no symptoms, descriptive pneumaturia, and irritative voiding symptoms to acute abdomen and severe sepsis.2,3 Thus, a high index of suspicion for emphysematous cystitis is required. The condition is usually diagnosed incidentally by plain abdominal film, ultrasonography, or CT scan findings. Other modalities include direct visualization during cystoscopy or laparotomy and biopsy. 2,3 However, CT remains the preferred diagnostic method, because of its high sensitivity and specificity in detecting gas and the extent and severity of disease and in differentiating other causes of intraluminal gas formation.1,2,5
REFERENCES:
1. Leclercq P, Hanssen M, Borgoens P, et al. Emphysematous cystitis. CMAJ. 2008;178:836, 839.
2. Thomas AA, Lane BR, Thomas AZ, et al. Emphysematous cystitis: a review of 135 cases. BJU Int. 2007;100:17-20.
3. Chong SJ, Lim KB, Tan YM, et al. Atypical presentations of emphysematous cystitis. Surgeon. 2005;3: 109-112.
4. Choong KK. Sonographic detection of emphysematous cystitis. J Ultrasound Med. 2003;22:847-849.
5. Bobba RK, Arsura EL, Sarna PS, Sawh AK. Emphysematous cystitis: an unusual disease of the Genito-Urinary system suspected on imaging. Ann Clin Microbiol Antimicrob. 2004;3:20.