Double aortic arch-a vascular ring anomaly in which both embryonic aortic arches persist and encircle the trachea and esophagus-is rare.
Double aortic arch-a vascular ring anomaly in which both embryonic aortic arches persist and encircle the trachea and esophagus-is rare, presenting in just 1 of 1000 pregnancies.1 The presentation of vascular rings often is nonspecific, including respiratory and GI features, which complicates the diagnosis.2,3
In this case report, we present an infant who has a double aortic arch vascular ring anomaly. We emphasize the importance of maintaining a high level of clinical suspicion for vascular ring when evaluating an infant with the symptom of persistent stridor. Recognizing persistent stridor early and treating the underlying cause can, indeed, optimize outcomes.
Case
A 3-day-old boy presented to the primary care office for evaluation of what the child’s mother described as “strange breathing.” He was full-term, born by vaginal delivery without complications. His mother had no significant past medical history and had not taken any medication during the pregnancy.
On examination, he was noted to have persistent stridor. His mother noted that the noise was present during the hospital stay and had not changed in character. She also noted that the noise occurs on inspiration and amplifies when the infant is feeding or crying.
The infant is breast-fed and has no difficulty with choking, swallowing, or reflux during feeds. The findings of the physical examination were unremarkable.
We recommended that the patient be evaluated at a local pediatric hospital for symptoms of persistent stridor at rest.
Discussion
The most common causes of chronic stridor in infants are laryngeal and tracheal diseases.4,5 More than 90% of infants with stridor have laryngomalacia, a benign, congenital condition typified by a “floppy” supraglottis that collapses inward on inspiration.6
Infants with laryngomalacia do not need to be hospitalized. Identifying those who have more serious presentations requires locating the obstruction in the airway, determining the onset of stridor, and assessing for the presence of key associated symptoms.7
Airway obstruction above the glottis, as with laryngomalacia, presents as inspiratory stridor; obstruction of the trachea, as with a vascular ring anomaly, presents as expiratory stridor. Biphasic stridor may be attributed to a glottic or subglottic lesion.7
The onset of stridor symptoms also is telling. Congenital lesions, such as vascular ring, typically cause stridor that is present from birth. However, laryngomalacia presents later in postnatal life, at about age 4 to 6 weeks.7
Vascular ring anomalies that compress the lower trachea are associated with respiratory symptoms, including wheezing, dyspnea, cough, chest retractions, recurrent respiratory infection, and apnea.4,8 Vascular rings also can compress the esophagus, causing dysphagia, vomiting, feeding intolerance, and other symptoms.3,8 The severity of symptoms varies with the degree of tracheoesophageal compression.9
Unlike stridor caused by laryngomalacia, stridor associated with vascular ring anomaly does not worsen when the infant is placed in the supine position or when the infant cries and strains.7 Stridor caused by vascular ring anomalies worsens with feeding, similar to tracheomalacia and tracheoesophageal fistula.7

Figure 1.
The double aortic arch impinges on neighboring structures to produce a symptom profile marked by respiratory and GI complaints. Esophageal indentation resulting from double aortic arch anomaly may be recognized in plain, lateral radiographs (left). Bronchoscopy may demonstrate indentation of the trachea (right).
If the clinical picture supports a diagnosis of vascular ring anomaly, several imaging studies may provide confirmation. Plain anterior and lateral chest radiographs (Figure 1) and barium esophagography can confirm the presence of a vascular anomaly.2,9,10 Barium esophagography requires that the patient swallow a barium sulfate solution and that fluoroscopy images be taken promptly thereafter. The detection rate is lower in plain radiographs than in barium esophagography, but radiographs are useful in ruling out other respiratory symptoms.2
Bronchoscopy can help identify the pulsatile compression of the posterior and lateral walls of the trachea associated with double aortic arch anomaly as well as allow for examination of the upper airway.2,4

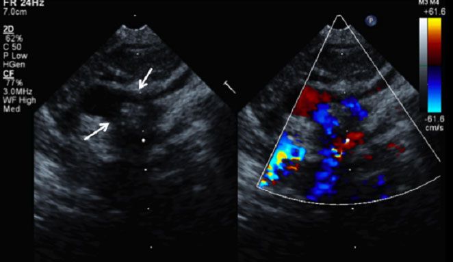
Figure 2.
A double aortic arch vascular ring is composed of a dominant right aortic arch (lower arrow) and a smaller left aortic arch (upper arrow).
Echocardiography is used liberally in evaluating patients for vascular ring anomalies because it may be adequate for diagnosis4 and is less invasive than other modalities (Figure 2).7 Although the double aortic arch vascular ring anomaly usually occurs without associated cardiovascular anomalies,4,11 echocardiography provides the added ability to rule out intracardiac anomalies.4
MRI and CT are noninvasive imaging options that are helpful in planning for surgery.2 Prenatal diagnosis via ultrasonography also is available and is very accurate.1
The consequences of missing a double aortic arch diagnosis vary. In infants, tracheal compression may result in tracheomalacia and associated breathing difficulties.1 Older children often present with frequent lower respiratory tract infections because they have difficulty with clearing secretions from below the compressed portion of the trachea.12
In cases of less severe tracheal compression, a diagnosis of double aortic arch anomalies may be made in adulthood. Adults present more frequently with swallowing difficulty than with respiratory symptoms.13 The literature also provides exceedingly rare cases of adults who have double aortic arch with presentations that mimic chronic asthma.14
In this case, the infant’s persistent stridor was recognized early and differentiated from more benign conditions such as laryngomalacia. The patient was referred to the local pediatric hospital for imaging and surgery. He will celebrate his first birthday this spring, symptom-free.
References
1. Tuo G, Volpe P, Bava GL, et al. Prenatal diagnosis and outcome of isolated vascular rings. Am J Cardiol. 2009;103:416-419.
2. Turner A, Gavel G, Coutts J. Vascular rings-presentation, investigation and outcome. Eur J Pediatr. 2005;164:266-270.
3. Umegaki T, Sumi C, Nishi K, et al. Airway management in an infant with double aortic arch. J Anesth. 2010;24:117-120.
4. Jeeyani HN, Prajapati VJ, Patel NH, Shah SB. Imaging features of double aortic arch shown by multidetector computed tomography angiography. Ann Pediatr Cardiol. 2010;3:169-170.
5. Boudewyns A, Claes J, Van de Heyning P. An approach to stridor in infants and children. Eur J Pediatr. 2010;169:135-141.
6. Kubba H. 12-minute consultation: an infant with stridor. Clin Otolaryngol. 2004;32:283-284.
7. Leung AK, Cho H. Diagnosis of stridor in children. Am Fam Physician. 1999;60:2289-2296.
8. Aldenaidi K, Gurofsky R, Karamlou T, et al. Management and outcomes of double aortic arch in 81 patients. Pediatrics. 2006;118:1336-1341.
9. Woods RK, Sharp RJ, Holcomb GW 3rd, et al. Vascular anomalies and tracheoesophageal compression: a single institution’s 25-year experience. Ann Thorac Surg. 2001;72:434-439.
10. Kellenberger CJ. Aortic arch malformations. Pediatr Radiol. 2010;40:876-884.
11. Maldonado JA, Henry T, Gutierrez FR. Congenital thoracic vascular anomalies. Radiol Clin North Am. 2010;48:85-115.
12. Valleta EA, Pregarz M, Bergamo-Andreis I, Boner AL. Tracheoesophageal compression due to congenital vascular anomalies (vascular rings). Pediatr Pulmonol. 1997;24:93-105.
13. Noguchi K, Hori D, Nomura Y, Tanaka H. Double aortic arch in an adult. Interact Cardiovasc Thorac Surg. 2012;14:900-902.
14. Lone GN, Rathore SS, Malik JA, et al. Double aortic arch masquerading as bronchial asthma for five decades. Asian Cardiovasc Thorac Ann. 2012;20:338-340.