For 3 days, a 28-year-old woman with a history of polymyositis and possible dermatomyositis had fever, chills, and nonproductive cough. She complained of rash, joint pain, and progressive immobility because of severe muscle weakness. For the past 6 years, she had been taking prednisone (60 mg/d), hydroxychloroquine (200 mg bid), and tramadol (100 mg q6h prn for pain).
For 3 days, a 28-year-old woman with a history of polymyositis and possible dermatomyositis had fever, chills, and nonproductive cough. She complained of rash, joint pain, and progressive immobility because of severe muscle weakness. For the past 6 years, she had been taking prednisone (60 mg/d), hydroxychloroquine (200 mg bid), and tramadol (100 mg q6h prn for pain).

The patient's vital signs were normal. She had a moon facies, and crackles were heard bilaterally in the lower lung fields. She had diffuse violaceous, desquamative plaques (A) in the antecubital fossae and on the posterior aspect of the knees and thighs (B). There was no evidence of Gottron papules.
Other than an aspartate aminotransferase level of 82 U/L, results of a chemistry panel were normal. The initial white blood cell count was 11.2/μL, with 77% neutrophils; hemoglobin, 8.8 g/dL; and platelet count, 249/μL. Erythrocyte sedimentation rate was 110 mm/h; lactate dehydrogenase, 717 U/L; creatine kinase, 96 U/L. Multiple blood and urine cultures were negative. The patient was antinuclear antibody–positive (1:640), JO-1 antibody–positive, and ribonucleoprotein antibody–positive. The aldolase level was mildly elevated. Test results for SS-A antibody and SS-B antibody were positive; results for anti-Smith antibody, anti-dsDNA antibody, and anti-SCL-70 antibody were negative. HIV testing yielded negative results.

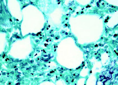
The patient's condition continued to deteriorate over 4 days, despite appropriate therapy; skin lesions, myopathy, and dyspnea worsened. Cultures of 3 skin biopsy specimens taken from the upper extremities revealed numerous budding yeast (C) that grew mold forms of Histoplasma capsulatum. Microscopy of a muscle biopsy specimen taken from the right lower limb demonstrated fungal yeast forms; it also showed type II fiber atrophy, which was likely secondary to long-term high-dose corticosteroid therapy. A urine test for Histoplasma antigen was positive (27.84 ng/mL).

Based on analysis of the serological data, it was concluded that the patient likely had mixed connective-tissue disease with disseminated histoplasmosis, rather than dermatomyositis. After a 2-week course of intravenous amphotericin B lipid complex, the patient made a remarkable recovery; rash and muscle pain diminished within 9 days (D). The prednisone dosage was tapered slowly during the hospital stay. The patient was discharged with a 6-month regimen of itraconazole and trimethoprim/ sulfamethoxazole, which was to be taken as long as she continued to take prednisone.
Histoplasmosis is the most prevalent endemic mycosis in the United States. The diagnosis can be challenging and requires a high index of suspicion. A multidisciplinary approach and specific tests aid in a timely diagnosis. Most infections are asymptomatic. However, acute pulmonary infection or severe and progressive disseminated disease may develop in some patients. Risk factors include extremes in age and immunosuppression.1,2

Treatment is indicated for all patients with disseminated histoplasmosis.2-4 For severe disseminated histoplasmosis, amphotericin B is the initial drug of choice. Most patients respond quickly to amphotericin B and can subsequently be treated with itraconazole. Therapy for at least 6 to 48 weeks is preferred because it may reduce the risk for relapse. Long-term maintenance therapy may be needed in immunosuppressed patients and in those who experience relapse after treatment.
References
1. Goodwin RA Jr, Shapiro JL, Thurman GH, et al. Disseminated histoplasmosis: clinical and pathologic correlations. Medicine (Baltimore). 1980;59:1-33.
2. Sathapatayavongs B, Batteiger BE, Wheat J, et al. Clinical and laboratory features of disseminated histoplasmosis during two large urban outbreaks. Medicine (Baltimore). 1983;62:263-270.
3. Reddy P, Gorelick DF, Brasher CA, Larsh H. Progressive disseminated histoplasmosis as seen in adults. Am J Med. 1970;48:629-636.
4. Sarosi GA, Voth DW, Dahl BA, et al. Disseminated histoplasmosis: results of long-term follow-up. A center for disease control cooperative mycoses study. Ann Intern Med. 1971;75:511-516.