Opportunistic fungal infections are increasingly common inpatients who undergo hematopoietic stem cell transplant(HSCT). Voriconazole is frequently used in allogeneicSCT recipients who receive immunosuppressant therapy forgraft versus host disease to prevent invasive aspergillosis.Indications for voriconazole use include invasive aspergillosis,candidemia, Scedosporium apiospermum infection, and fusariosis.We describe a case in which disseminated Fusarium infectiondeveloped in an HSCT recipient who was receiving voriconazoletherapy. [Infect Med. 2008;25:528-530]
Because it has excellent activity against Aspergillus species, voriconazole is being used with increasing frequency in patients with prolonged neutropenia or following hematopoietic stem cell transplant (HSCT). A reduction in the prevalence of Aspergillus infections is thus being seen; however, use of voriconazole as a protective measure against opportunistic aspergillosis may be selecting for mould infections from pathogens such as Zygomycetes and Scedosporium and Fusarium species. We report a case of disseminated fusariosis secondary to a minor trauma that occurred in a man while he was gardening and was fatal.
Case report
A61-year-old man with a history of aplastic anemia underwent HSCT. Stem cells were derived from a matched donor who was related to the transplant recipient. Graft versus host disease (GVHD) of the skin and GI tract subsequently developed. While planting a palm tree, the patient's left hand was lacerated by a frond. After several days, he noticed that a pink papular lesion had developed at the site of the injury. The patient was referred by his primary care provider to a dermatologist who performed a biopsy. Treatment was deferred pending biopsy results.
The lesion enlarged over the next several weeks. At the time of the injury, the man had been receiving voriconazole, acyclovir, trimethoprim/ sulfamethoxazole, mycophenolate mofetil, tacrolimus, and prednisolone for both prophylaxis of opportunistic infection and treatment of GVHD.
The patient presented to our clinic 6 weeks after being injured and 6 months after having undergone HSCT. Physical examination revealed a 3 X 5-cm papulonodular erythematous lesion with scarring on the dorsal aspect of the left hand. The patient had no other systemic symptoms. Given his severe immunosuppression and history of gardening injury, a CT scan of the chest was ordered because it was suspected that symptoms were related to a disseminated mould infection.
Findings from the physical examination were otherwise unremarkable. The total white blood cell count was 3900/?L (absolute neutrophil count less than 1000/?L); hemoglobin, 11.9 g/dL; platelet count, 42,200/?L; creatinine, 1.3 mg/dL (improved from 1.4 mg/dL); alkaline phosphatase, 114 U/L; aspartate aminotransferase, 114 U/L; and alanine aminotransferase, 386 U/L. Blood cultures were negative.
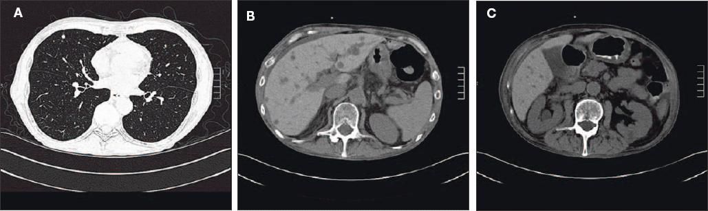
A CT scan of the chest and abdomen revealed multiple 1- to 2-cm hypodense nodular lesions in the lungs, liver, and kidneys (Figure 1). Histopathological examination of a biopsy specimen from the hepatic nodules revealed septate hyphae with ballooning, which is characteristic of Fusarium (Figure 2). A culture of urine, liver, and skin biopsy specimens grew Fusarium (Figure 3). A test for species determination was not available.

Figure 1 -
A CT scan of the chest (A) revealed multiple 1- to 2-cm nodular lesions typical of a Fusarium infection.A CT of the abdomen (B) and of the abdominal pelvic region (C) revealed multiple hypodense liver and kidneylesions consistent with dissemnated Fusarium infection, which was confirmed by a liver biopsy and urineculture.

Figure 2 -
Hematoxylinand eosin stain of abiopsy specimenfrom the liver nodulerevealed septate hyphaewith ballooning, whichis characteristic ofFusarium.

Figure 3 -
Fusariumappears as rapid-growing,cottony to woolly,flat spreading colonieson brain-heart infusionagar. The colors of thecolonies may includeblue, green, beige,salmon, lavender,red, violet, andpurple, dependingon the medium used.
Despite 6 weeks of treatment with intravenous liposomal amphotericin B at a dosage of 5 mg/kg/d and oral posaconazole at a dosage of 200 mg qid, the liver lesions persisted and new lesions appeared in the kidneys. The patient died of disseminated infection; no autopsy was performed.
Discussion
The epidemiology of fungal infections in HSCT recipients has changed since the introduction of fluconazole prophylaxis. An increased incidence of invasive mould infections such as aspergillosis and fusariosis has correlated with a decline in Candida infections.1Fusarium species are important plant pathogens that cause diseases such as crown rot, head blight, and scab in cereal grains. The fungus is widely distributed in the soil and in both subterranean and aerial plants.2 Different species of Fusarium have also been isolated from palm trees.3
Fusarium species that are most often implicated in human infection are Fusarium solani, Fusarium oxysporum, and Fusarium moniliforme. Second to Aspergillus, Fusarium has become the most frequent cause of mould infection among patients with underlying hematological malignancy and in those who have undergone either intensive cytotoxic chemotherapy or HSCT. Risk factors for development of disseminated Fusarium infections include prolonged neutropenia, use of corticosteroids and broad-spectrum antibiotics, and indwelling intravenous catheters.
Clinical signs and symptoms include myalgias, fever, skin lesions, sinopulmonary infections, and fungemia with subsequent dissemination to the liver, spleen, and other viscera. The skin lesions are initially macular with central pallor and may progress to ecthyma gangrenosum- like nodular necrotic lesions.2
Blood cultures are positive for Fusarium in up to half of all cases, and histopathological examination of involved tissues may support the diagnosis of disseminated infection. Diagnostic techniques using polymerase chain reaction methods are being developed.3
The mainstay of treatment for invasive Fusarium infections is highdose lipid formulations of amphotericin B. Voriconazole has been approved by the FDAfor use as salvage therapy for patients in whom other therapies fail or for those who are intolerant to other therapies.4 Successful responses to voriconazole have been described in case reports, but confirmatory prospective studies have not yet appeared.5,6
Posaconazole also has demonstrated activity against Fusarium infections in patients with hematological malignancy.7 Breakthrough infections have been described during amphotericin B therapy in which Fusarium appeared to be resistant in vitro.8 Combination therapy with a lipid formulation of amphotericin B and a newer-generation azole, such as voriconazole or posaconazole, may be more effective in eradicating infection than monotherapy.
Although the lungs, sinuses, feet, and toes are the usual entry points for Fusarium organisms in immunocompromised cancer patients, our case illustrates another portal of entry, the skin. Specifically, even minor trauma involving plants or soil that disrupts the skin's integrity may cause a life-threatening fungal infection.
Optimal treatment of Fusarium infections remains an unresolved issue. Further identification of Fusarium species and their susceptibilities are needed to elucidate the best treatment for these infections. The increasing use of prophylactic voriconazole in immunosuppressed patients may exert a selection pressure for fungi such as Zygomycetes and Scedosporium and Fusarium species, which are resistant to voriconazole. Minor trauma incurred by immunosuppressed HSCT patients while handling plants can result in disseminated infections that are refractory to treatment and can be fatal.
AI-Powered Diabetes Prevention Program Intervention Matches Human Coaching in Landmark Trial
October 27th 2025After 1 year of coaching by the AI app or a DPP-associated coach, reductions in weight and HbA1c and increases in physical activity were equal, an outcome with great promise for scalability.