A39-year-old man is brought to theemergency department (ED)after his car struck a tree. He experienceda transient loss of consciousnesswith a 3-minute episode of retrogradeamnesia at the scene of the accident,despite wearing a seat belt andshoulder harness. He was disorientedto date and place.

Figure 1
A 39-year-old man is brought to theemergency department (ED)after his car struck a tree. He experienceda transient loss of consciousnesswith a 3-minute episode of retrogradeamnesia at the scene of the accident,despite wearing a seat belt andshoulder harness. He was disorientedto date and place.
Now, in the ED, his pulse rate is98 beats per minute; respiration rate,20 breaths per minute; and bloodpressure, 140/90 mm Hg. Temperatureis not recorded. He complains ofoccipital headache and numbnessand tingling in his left arm. He has a3-cm tender area in the occipitalscalp; there is no swelling or bony depression.Grip in the left hand andflexion and extension of the left forearmare weak. His left arm demonstratesa mild pronator drift; sensorytesting reveals diminished sensationin the arm. His speech is slow, andhe is unable to relate the history ofthe crash. Heart, lungs, and abdomenare normal.
He began having problemswith his left arm 2 weeks earlier. Healso had difficulty in walking andseemed confused. He was examinedin the ED and told he might have had a stroke; however, ahead CT scan was normal.
He has a history of coronary artery disease andhypercholesterolemia and takes atenolol, 25 mg/d, andlisinopril, 10 mg/d, for hypertension. He smokes 1 pack ofcigarettes daily and was a heavy drinker in the past. Nohistory of seizures or neurologic disease.
A noncontrast head CT scan and cervical spine x-rayseries are ordered.
What clues to the cause of this patient's symptomsare evident in the scan?
WHAT'S WRONG:
The head CT scan shows no obvious pathology,such as hemorrhage, midline shift, or cerebral contusion.No old infarct pattern is noted.
No fracture or subluxation is seen on the cervicalspine series.
What further steps will you take to evaluate thispatient?
Because his focal neurologic deficit and mental stateare stable, an outpatient MRI scan and Doppler duplexstudy of the carotid arteries are scheduled. MRI providesgreater detail about the parenchymal central nervous tissue(for example, it can show a resolving infarct). TheDoppler duplex study was ordered to evaluate the carotidarteries as a possible site of origin for a cerebral embolusresulting from arteriosclerotic disease.
Before the patient is discharged, a nurse notes thathis temperature is 38.6oC (101.4oF). A lumbar punctureis ordered to rule out meningitis because of the presenceof fever, confusion, arm weakness, and headache. Thecerebrospinal fluid (CSF) is hazy with a white blood cellcount of 1140/L, all of which are neutrophils. CSF glucoselevel is 45 mg/dL, and protein level is high (93mg/dL). Gram staining of CSF shows no bacteria orfungi. The patient is given ceftriaxone, 2 g in an intravenouspiggyback and 1 g q12h, for presumed bacterialmeningitis, and he is admitted to the ICU.
Spinal fluid and blood cultures are both positive forEnterococcus faecalis, and his antibiotic regimen isswitched to ampicillin, 2 g q4h for 6 weeks, and gentamicin,3 mg/kg/d in divided doses for 2 weeks.
What is your next step for this patient?

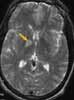
Figure 1
An MRI scan of the brain is ordered to determinethe cause of the patient's continued left-sided weakness(Figure 1). The scan shows multiple small lesions of uncertainorigin within the right parietal lobe, basal ganglia,and temporal lobe. The scan also reveals a focal area ofcerebritis or a small parenchymal contusion with minimalincreased signal within the right basal ganglia on the T1-weighted image, which suggests petechial hemorrhage.
What does the unilateral location of the lesionssuggest-and how will you proceed to evaluate thisfinding?
The clustering of the lesions on the right side of thebrain suggests vascular emboli. Of note, the admittingphysician detected a significant heart murmur when sheexamined the patient in the quiet of his hospital room. Anechocardiogram is performed to evaluate the heart as apotential source of repeated embolization (Figure 2).

Figure 2 A

Figure 2 B
The study shows vegetation that adheres to themitral valve. Severe mitral regurgitation, prominentthickening of the mitral valve leaflet, and mild pulmonicregurgitation are evident. No obvious intracavitarymass, thrombus, or significant pericardialeffusion is present. Thedynamic study shows grossly normalleft ventricular function and anejection fraction of 55%. Based onthe results of the echocardiogramand the growth of E faecalis on theblood culture, infective endocarditisis diagnosed.

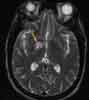
Figure 3
One week later, a second MRIscan shows a similar pattern of rightsidedlesions (Figure 3). No newlesions are detected. An area of increasedsignal intensity in the rightbasal ganglia is compatible with adiagnosis of septic embolism orinfarction.
On the 10th hospital day, the patientis transferred to the rehabilitationdepartment for gait training andspeech therapy. The antibiotic regimenis discontinued after 42 days, atwhich time the blood culture showsno bacterial growth. The patient's neurologicdeficits are steadily abating.
IMPLICATIONSFOR PRACTICE
This case demonstrates the convolutedcourse to diagnosis that sometimesconfronts us. The sequence ofpresumptive diagnoses moved fromstroke to motor vehicle accident withpossible concussive head injury, tobacterial meningitis, to unilateral CNSlesions that were attributable to bacterialendocarditis.
Several teaching points warrantemphasis:
In a complex case, all leadsmust be followed to their conclusionto arrive at the final diagnosis.