A 50-year-old African American woman with type 2 diabetes mellitus and hypertension was admitted with constant bilateral knee and thigh pain and swelling of both knees, all of 1 week’s duration. The pain was not relieved with hydrocodone/acetaminophen and had caused weakness and subsequent falls.
A 50-year-old African American woman with type 2 diabetes mellitus and hypertension was admitted with constant bilateral knee and thigh pain and swelling of both knees, all of 1 week’s duration. The pain was not relieved with hydrocodone/acetaminophen and had caused weakness and subsequent falls. One month before this admission, similar swelling of the knees had been misdiagnosed as gout and treated with colchicine and a knee immobilizer for comfort. The patient denied trauma, fever, chills, nausea, and vomiting. She did note that her vision had been blurry for 3 days.
The patient was afebrile and had tachycardia. Both legs were tender to palpation, particularly at the distal thigh and knee; there was no erythema. Bilateral knee effusions were present. Range of motion was restricted by the patient’s pain. There was decreased sensation on the lower extremities in a stocking and glove distribution. Dorsalis pedis pulses were 2+ bilaterally.
Initial laboratory values were glucose, 645 mg/dL (range, 60 to 99 mg/dL); alkaline phosphate, 133 U/L (range, 39 to 117 U/L); ESR 33, mm/h (range, 0 to 20 mm/h; and HgbA1c, 12.1% (range, 4.8% to 6.0%). Values for electrolytes, creatinine, transaminases, creatine phosphokinase, and complete blood cell count were within normal limits.

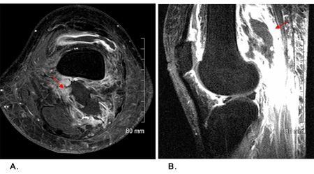
Arthrocentesis of the knee was performed to evaluate for septic arthritis or crystal arthropathy. There was blood in the aspirate and laboratory studies found 158,750 red blood cells, 150 nucleated cells, and no uric acid crystals. No organisms were found on Gram stain or culture. An MRI study of both knees showed extensive edema in the distal thigh and gastrocnemius muscles as well as in subcutaneous fat (Figure 1, A and B). Fluid was also seen at the short head of the left biceps femoris. The findings were consistent with diabetic myonecrosis (DMN).
The patient was largely nonadherent with a daily regimen of insulin lispro/insulin glargine (75/25), which had resulted in severe hyperglycemia. An aggressive insulin regimen was initiated to correct this situation. Opioid analgesics and NSAIDs were given for pain management. After an initial period of strict bed rest, the patient began physical therapy. She was discharged home 2 weeks after admission, at which time she was able to ambulate with a walker. It was recommended that she follow up with her primary care physician for re-evaluation of antihyperglycemic medications. One month later, her HgBA1c was found to be 10.1% and she said that her blurry vision had improved.
Discussion
DMN is a rare complication of uncontrolled diabetes mellitus that should be suspected in patients with type 2 diabetes mellitus who present with thigh pain or knee effusions. Since its first recognition as a disease entity, only about 100 case reports have been identified.1 Early diagnosis can minimize unnecessary and potentially harmful interventions. While the exact pathogenesis is unknown, DMN may be a consequence of atheroembolic vascular compromise that leads to ischemia, followed by fibrinolysis and reperfusion injury.1 This cycle of hypercoagulability and fibrinolysis causes eventual tissue necrosis. DMN is an indicator of severe microvascular compromise.
DMN may present unilaterally or bilaterally and most often affects the quadriceps muscle, although it can extend into the lower leg.2 The differential diagnosis for DMN includes trauma, septic arthritis, crystal arthropathy, and inflammatory or infectious myositis.
DMN is a clinical diagnosis, although MRI can reveal extensive edema of the muscles and subcutaneous tissues. The diagnostic probability is increased in patients with type 2 diabetes mellitus who show no clinical signs of infection.2 Arthrocentesis with culture and analysis of the aspirate can help limit the differential. If a distinct fluid pocket can be isolated within the soft tissue, ultrasound- or CT-guided aspiration can help rule out an abscess or pyomyositis. Biopsy and surgery that requires debridement are not recommended because they prolong recovery time and increase recurrence rate.1Laboratory values are nonspecific; however, C-reactive protein and ESR may be elevated, with a normal creatine phosphokinase level.3
An acute episode of DMN typically resolves in a month with very few or no long-term complications.4 DMN sequelae are associated with poor healing and lack of physical therapy after the acute episode that leads to muscle weakness and instability.
Treatment goals include achieving strict glycemic control to prevent further vascular damage. Glycemic control, however, will not shorten the duration of an acute episode or alter the risk for recurrence.5 Once DMN develops, the likelihood of recurrence in the same muscle exceeds 50%. Some patients experience 1 or 2 episodes annually after the first event.5
Because DMN is analogous to severe vascular compromise, the long-term prognosis for a patient with DMN is similar to that for a patient with type 2 diabetes mellitus who has had a myocardial infarction. The 2-year mortality approaches 10% secondary to macrovascular sequelae of prolonged uncontrolled diabetes (eg, MI and stroke).2
Early diagnosis of DMN is crucial. It can limit unnecessary and potentially harmful diagnostic interventions, focus attention on tighter control of hyperglycemia and management of other atherosclerotic risk factors, and promote timely physical therapy to reduce long-term impairment.
Teaching Points
• DMN presents with thigh pain and joint effusions and is a rare complication of diabetes mellitus.
• Diagnostically, DMN is not always associated with an elevated creatine phosphokinase level. The diagnosis is supported by MRI findings and does not require a muscle biopsy unless the patient has symptoms that suggest infection.
• Treatment should focus on rapid restoration of glycemic control.
• DMN has a high recurrence rate and patients with DMN have a significant mortality rate secondary to vascular complications.
1. Deimel GW, Weroha JS, Rodriguez-Porcel M. A 51-year-old hospitalized man with a painful leg. Mayo Clin Proc. 2011;86:241-244.
2. Kapur S, Brunet JA, McKendry RJ. Diabetic muscle infarction: case report and review. J Rheumatol. 2004;31:190-194.
3. Muzaffar TH, Muzaffar FJ. A rare complication of diabetes mellitus in a 65-year-old man. J Diabetes Complications. 2009;23:438-440.
4. Naderi ASA, Farsian FN, Plamer BF. Diabetic muscle necrosis. J Diabetes Complications. 2008;22:150-152.
5. Trujillo-Santos AJ. Diabetic muscle infarction. Diabetes Care. 2003;26:211-215.