Dermatofibromas may present as papules or nodules that are elevated or slightly depressed. Suspected etiology includes skin injury such as insect bites.
Figure 1. (click on images to enlarge)

Figure 2.

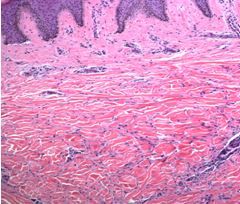
Figure 3.

A 30-year-old man presented with a reddish-brown , well-circumscribed 0.5-cm papule on his lateral chest (Figure 1) which he said had been there for several months. The patient states that he had a similar lesion on his left leg a few years ago which resolved over time.
Key Point: The patient presents with a solitary hard brown papule on the trunk. Patient history, morphology, and location favor a diagnosis of dermatofibroma. These lesions may present as papules or nodules which may be elevated or slightly depressed and are typically located over the lower extremities, above the elbows or on the lateral trunk. A dimple sign or depression (Figure 2) is created over a dermatofibroma when it is grasped between thumb and forefinger. Dermatofibromas are more comonly seen in adults and range from 4- to 20-mm in size, although giant lesions, greater than 5 cm in diameter, may occur. Suspected etiology includes skin injury such as insect bites or shaving. Pathology demonstrates a dermal mass composed of fibrous tissue with numerous spindle cells which are factor XIIIA positive (Figure 3).
Treatment: Dermatofibromas are generally asymptomatic and and require only patient reassurance. As in the current case, involution may occur over time. If the lesion progressively enlarges beyond 2- to 3-cm in size, a biopsy is indicated. Complete surgical excision will yield the best results for those lesions which are cosmetically unacceptable or are symptomatic.
Note: Systemic lupus erythematosus, HIV, chronic myelogenous leukemia, and drugs including systemic steroids or immunosupressive agents have been associated with multiple eruptive dermatofibromas.